歯のがたつき、噛み合わせが気になる
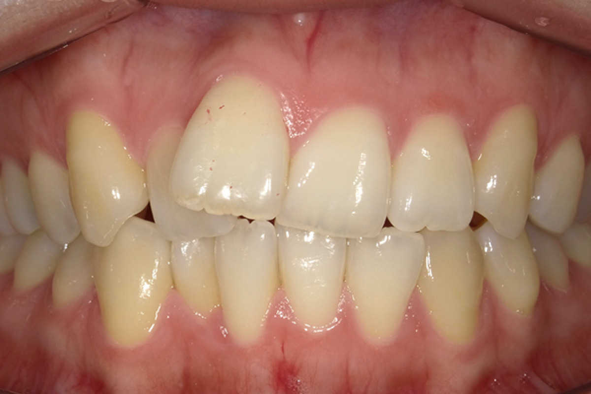
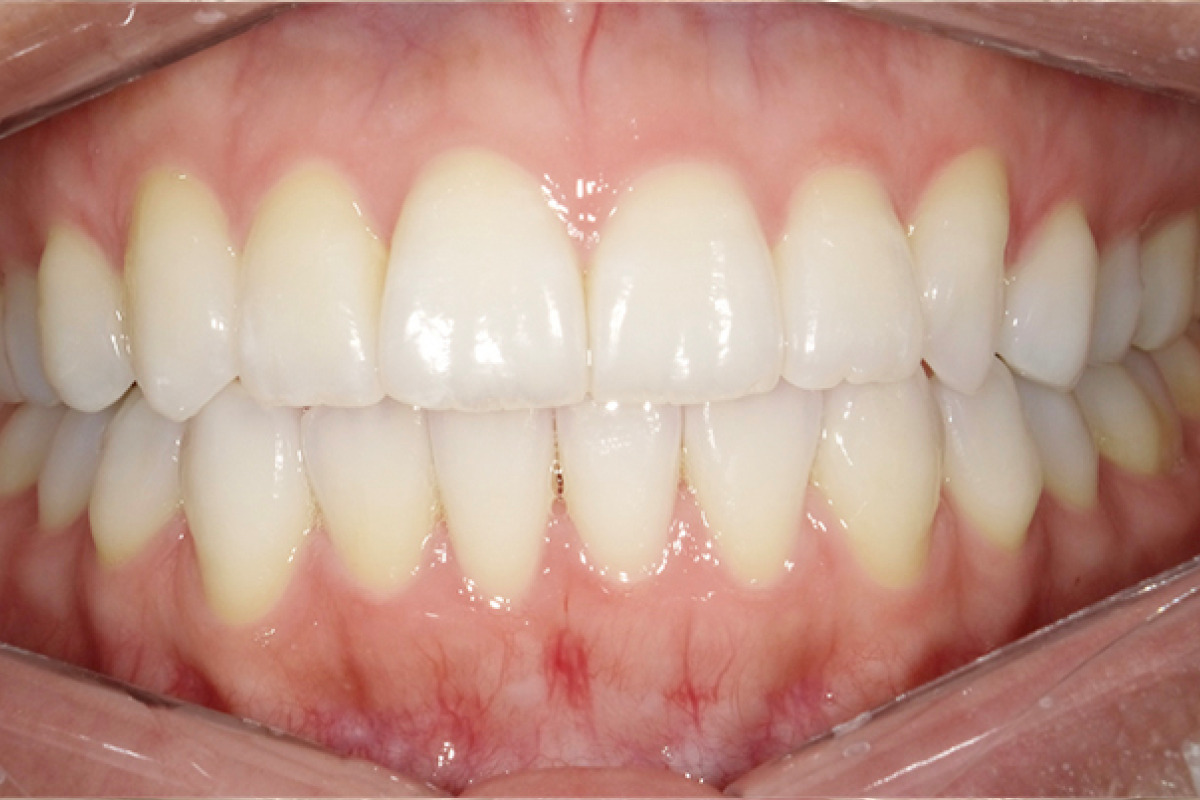
インビザラインマウスピース矯正患者様情報 20代女性 患者様のお悩み 歯のがたつき、噛み合わせが気になる。 治療概要 歯のがたつき、噛み合わせを治すため、当院では見た目も気にならないインビザラインを患者様におすすめしました。 インビザラ […]

患者様情報 20代女性 患者様のお悩み 歯のがたつき、噛み合わせが気になる。 治療概要 歯のがたつき、噛み合わせを治すため、当院では見た目も気にならないインビザラインを患者様におすすめしました。 インビザラ […]
患者様情報 30代女性 患者様のお悩み 前歯のがたつき、突出感が気になる。 治療概要 前歯のがたつき、突出感を治すため、当院では見た目も気にならないインビザラインを患者様におすすめしました。歯の形を整えて歯 […]
患者様情報 20代女性 患者様のお悩み 上の前歯が出っ歯なのが気になる・前歯で噛み切れない 治療概要 前歯が噛み合っていなかったため、インビザライン矯正で噛み合わせと歯並びを治療 インビザライン矯正について […]
患者様情報 20代女性 患者様のお悩み 全体的に歯並びが気になる・左上の前歯が内側に入っている 治療概要 噛み合わせた時に下の歯に隠れてしまっている左上の歯を中心に、全体的な歯並びの調整を行うためのインビザ […]
患者様情報 30代女性 患者様のお悩み 前歯が出っ歯になっている、噛み合わせが気になる 治療概要 出っ歯と噛み合わせが気になるということでこのまま治療しないと奥歯で噛むことになり、負担がかかり気になっている […]
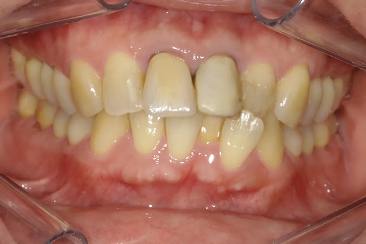
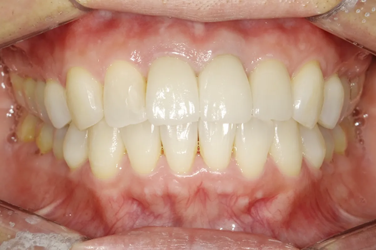
患者様情報 40代女性 患者様のお悩み 噛み合わせが強く、頭痛がする 治療概要 矯正治療による咬合関係の改善と審美補綴治療を提案しました。 まず、矯正治療の前準備として、歯のクリーニング、虫歯と銀歯の治療を […]
患者様情報 40代女性 患者様のお悩み 歯並びが気になる。目立たずに治したい。 前歯の差し歯が黒ずみ、見た目が気になる。また奥の銀歯を無くしたい。 治療概要 まず、矯正治療の前準備として、歯のクリーニング、 […]
患者様情報 60代男性 患者様のお悩み 食事が楽しめる歯を取り戻したい 治療概要 上下を入れ歯にしてから20年間歯科医院に通っていない状態。 もう一度食事を楽しみたいと考えており、インプラントの相談でご来院 […]
患者様情報 60代男性 患者様のお悩み 歯に痛みがあり薬が効かない 治療概要 左下5番に自発痛があり、薬を飲んでも効かないとご相談。他院にて入れ歯を作製して以来、通院はなく歯科医院の来院は3年ぶり。 入れ歯 […]
Menu
〒233-0002
神奈川県横浜市港南区上大岡西1丁目14-6 Daiwa 上大岡ビル3階
(上大岡駅から徒歩1分)
上大岡駅より徒歩1分
近隣駐車場をご利用ください。
現金/PayPay/クレジットカード
| 月 | 火 | 水 | 木 | 金 | 土 | 日 | 祝 | |
|---|---|---|---|---|---|---|---|---|
| 09:30〜13:00 | ● | ● | ● | ● | ● | ▲ | ✕ | ✕ |
| 14:30〜19:30 | ● | ● | ● | ● | ● | △ | ✕ | ✕ |
045-848-3888
アクセス
LINE予約
WEB予約
電話予約
メニュー