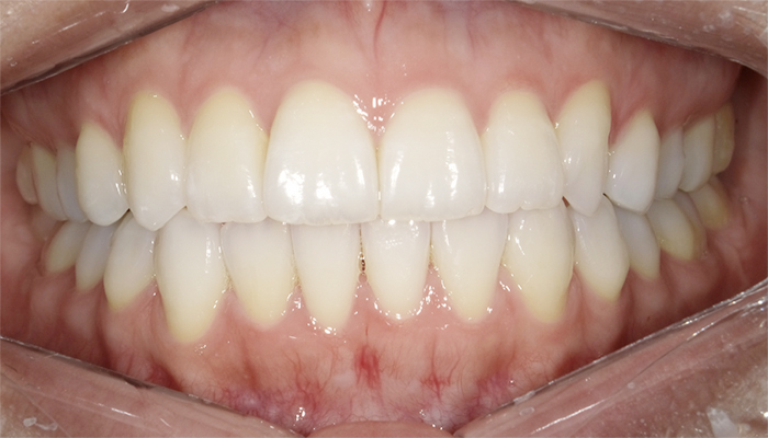
ホワイトニングを行い、歯の白さを取り戻した症例
オフィスホワイトニングホームホワイトニング治療期間の目安
2ヶ月
治療回数の目安
7回
治療費総額の目安
14万円
患者様情報 40代男性 患者様のお悩み 歯を白くしたい 治療概要 ホワイトニング 提案内容 ホームホワイトニング、オフィスホワイトニング、デュアルホワイトニングの三通りの方法についてご説明。 即効性、持続性 […]
患者様情報 40代男性 患者様のお悩み 歯を白くしたい 治療概要 ホワイトニング 提案内容 ホームホワイトニング、オフィスホワイトニング、デュアルホワイトニングの三通りの方法についてご説明。 即効性、持続性 […]
Menu
〒233-0002
神奈川県横浜市港南区上大岡西1丁目14-6 Daiwa 上大岡ビル3階
(上大岡駅から徒歩1分)
上大岡駅より徒歩1分
近隣駐車場をご利用ください。
現金/PayPay/クレジットカード
| 月 | 火 | 水 | 木 | 金 | 土 | 日 | 祝 | |
|---|---|---|---|---|---|---|---|---|
| 09:30〜13:00 | ● | ● | ● | ● | ● | ▲ | ✕ | ✕ |
| 14:30〜19:30 | ● | ● | ● | ● | ● | △ | ✕ | ✕ |
045-848-3888
アクセス
LINE予約
WEB予約
電話予約
メニュー