インプラントとジルコニアの被せ物を用いて審美的、機能的に回復させた症例
患者様情報
40代男性
患者様のお悩み
右上の歯茎が腫れた、噛めない
治療概要
詰め物・被せ物、インプラント
提案内容
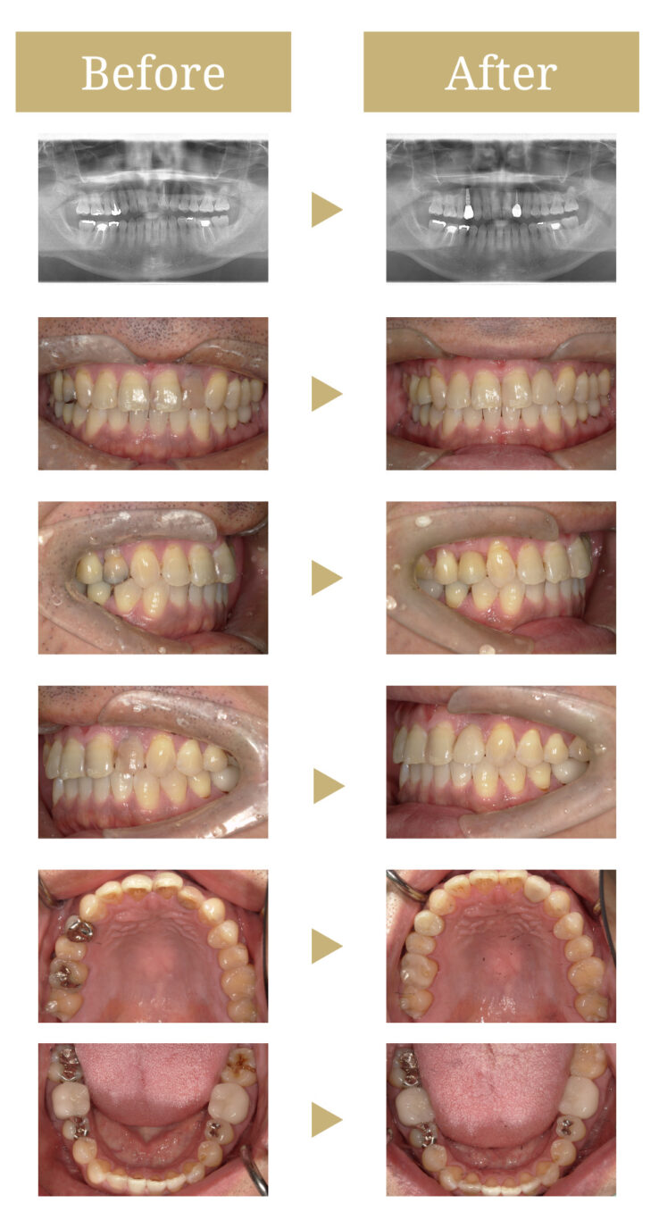
右上の歯の詰め物をマイクロスコープ下で外し、歯の状態を確認したところ、歯は縦に割れてしまっており、抜歯が必要な状態でした。
抜歯後の治療法として、長持ちしてよく噛める方法を希望されましたのでインプラント治療を行っております。
また、前歯(左上中央から2番目)の神経を取った歯の変色も気になるとのことでしたので、インプラント治療と並行して前歯の被せ物の治療を行いました。
治療内容
右上の4番目の歯はマイクロスコープを使用して確認したところ、抜歯が必要な状態でしたが、抜歯と同時にインプラント治療を行う、抜歯即時埋入という方法が取れる状態でした。それにより、治療期間を約3ヶ月短縮することができ、早期での治療完了を達成できました。
治療前の状態
右上の4番目の歯は不適合の金属の詰め物が入っており、神経を取った前歯(左上中央から2番目)は変色が見られました。
治療後の状態
口腔内に不安がなくなり見た目も綺麗になったことから大変喜ばれていました。
治療費用(税込)
■右上4番
CT診断:22,000円
オペ代:33,000円
麻酔代:71,500円
上部構造(ジルコニア):198,000円
プレミアムアバットメント:55,000円
フィクスチャー(ノーベルシンプル):275,000円
仮歯:16,500円
■左上2番
ファイバーコア:33,000円
仮歯:3,300円
ジルコニアクラウン(レイヤリング):165,000円
総額:872,300円
治療期間
7ヶ月
通院頻度
1ヶ月に2回程度
治療回数
15回
リスク・副作用
極度な咬合力によってジルコニアが欠ける可能性があります。
メンテナンスを怠ると、インプラント周囲炎になる可能性があります。


