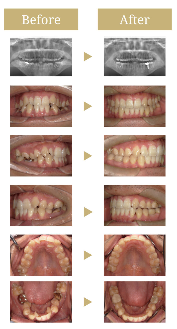
インビザラインとインプラントを併用して審美的、機能的に口腔内を回復した症例
患者様情報
20代男性
患者様のお悩み
全体的に治したい
2年後に海外に行くのでそれまでに綺麗にしたい
治療概要
虫歯治療、詰め物・被せ物、インビザライン、インプラント
提案内容
保存不可の歯があることや、歯列不正が大きい現状の状態を伝え、矯正とインプラントを併用した治療が長期的にはベストな治療内容と説明させていただきました。
治療期間にも制限があったため、矯正に関しては光矯正加速装置を使用していただき、できるだけ治療期間の短縮に努めました。
仕事の関係で月に1回から2回の来院が限度だった為、ご自身でマウスピースを交換することで矯正を進めることができるインビザラインをおすすめしました。
治療内容
まずは虫歯治療、親知らずの抜歯等を先行して行いました。矯正治療計画を立て、最終的な歯の位置を決定後、インビザラインを進め、矯正を開始しました。左下奥から2番目の歯は矯正治療がある程度進んだタイミングでインプラント治療を行い失なってしまった歯の回復を行いました。
治療前の状態
噛み合わせが悪く、清掃状況が悪い状況でした。また重度の虫歯もあり抜歯が必要な歯もありました。
治療後の状態
噛み合わせのバランスが整い、奥歯もインプラントを行うことで噛む場所を回復させることができました。
口腔内の状態が良くなり、安心して今後も過ごせると満足されていました。
治療費用(税込)
■インプラント
CT診断:22,000円
オペ代:33,000円
麻酔代:71,500円
上部構造(ジルコニア):198,000円
プレミアムアバットメント:55,000円
フィクスチャー(ノーベルスタンダード):330,000円
仮歯:33,000円
■インビザライン
精密診断料:19,250円
インビザラインフル:1,100,000円
光矯正加速装置:55,000円
総額:1,916,750円
治療期間
2年
通院頻度
1ヶ月に1回〜2回
治療回数
34回
アライナーの枚数
62枚
リスク・副作用
適切な保定を行わない場合、矯正の後戻りが起きる可能性があります。
メンテナンスを怠ると、インプラント周囲炎になる可能性があります。


