ジルコニアを用いた被せ物で審美性を失わずに虫歯治療を行なった症例
患者様情報
30代男性
患者様のお悩み
歯が痛い、虫歯がある
治療概要
虫歯治療、詰め物・被せ物
提案内容
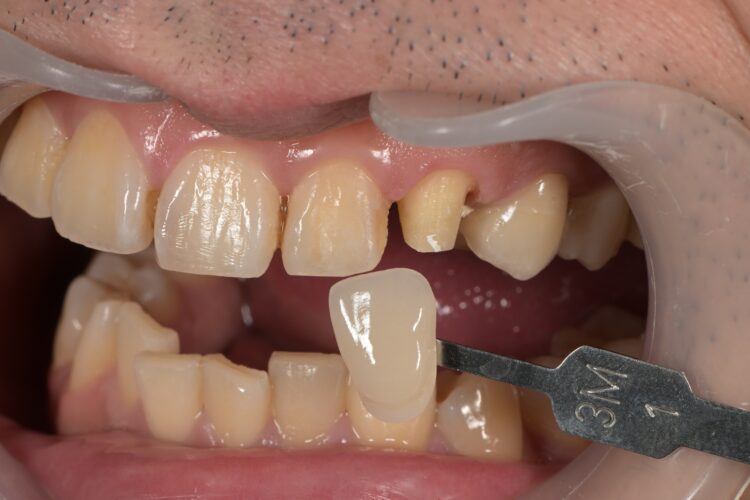
左上3番目の歯に大きな虫歯がありました。
根管治療の行った後に被せ物の治療を行いました。
被せ物に関しては、見た目に大きく関わる部位でしたので、レイヤリングクラウンにて修復いたしました。
治療内容
まずは根管治療を行い、その後ファイバーコアにて歯を補強、技工士と連携しながら色味を整えた被せ物を型取りの後、セットしました。
治療前の状態
左上の3番目に歯の神経にまで及ぶ大きな虫歯がありました。
治療後の状態
左上の3番目に自然な色味の被せ物が入りました。
一見被せ物と分からないような被せ物に大変満足されていました。
治療費用(税込)
ファイバーコア 33,000円
レイヤリングクラウン 176,000円
総額:209,000円
治療期間
1ヶ月
通院頻度
週に1回
治療回数
5回
リスク・副作用
レイヤリングクラウンは強度に優れますが、極度な咬合力(歯ぎしりなど)で破折する可能性があります。


