〒233-0002
神奈川県横浜市港南区上大岡西1丁目14-6 Daiwa 上大岡ビル3階
(上大岡駅から徒歩1分)

メニューから探す

根管治療に関する症例一覧

抜歯と診断されていた歯をマイクロエンド治療で保存した症例

治療期間の目安
1ヶ月
治療回数の目安
4回
治療費総額の目安
17万円

  治療概要 マイクロエンド・根管治療 再治療を繰り返していたが痛み腫れが引かず骨吸収も大きく抜歯と診断された歯をマイクロエンド治療によって病巣を縮小させ保存した。 治療費用(税込)・期間 165,000円(自 […]

詳細を見る

上顎大臼歯にマイクロエンドを行った症例

治療期間の目安
2ヶ月
治療回数の目安
4回
治療費総額の目安
17万円

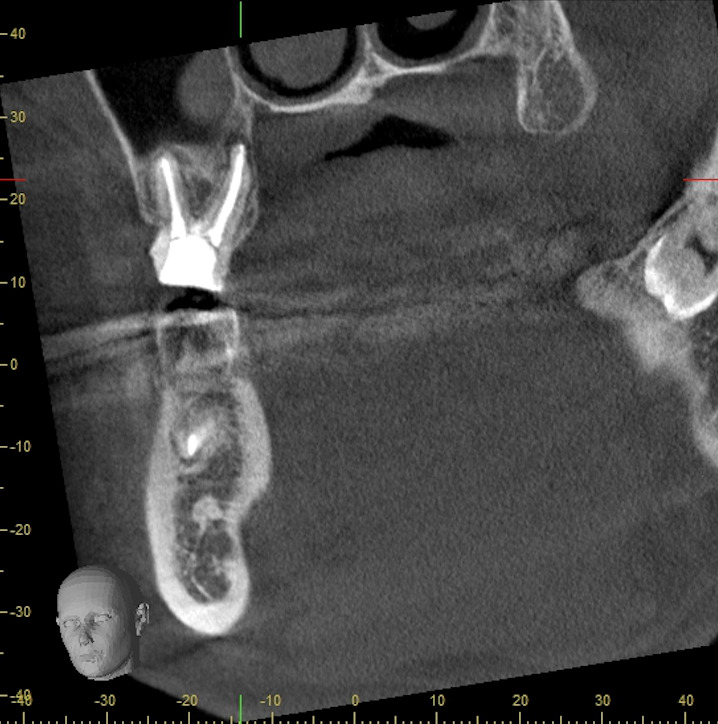
患者様情報 20代女性 患者様のお悩み 左上の奥歯のあたりが疼く気がする 治療概要 根管治療 提案内容 CTを撮影すると左上の一番奥の歯は神経が壊死しており、その炎症は上顎洞と言われる鼻の横にある空洞まで波及していました […]

詳細を見る

マウスピース矯正とセラミックの被せ物を用いて審美的、機能的に回復させた症例

治療期間の目安
3年2ヶ月
治療回数の目安
40回
治療費総額の目安
212万円

  患者様情報 20代女性 患者様のお悩み 歯茎にできものができた、虫歯治療したい 歯並びも気になってる 治療概要 虫歯治療、詰め物・被せ物、根管治療、インビザライン、クリーニング、ホワイトニング 提案内容 虫 […]

詳細を見る

精密根管治療により抜歯を回避し、歯を保存した症例

治療期間の目安
1ヶ月
治療回数の目安
4回
治療費総額の目安
17万円

患者様情報 40代男性 患者様のお悩み 奥の歯茎が疼く 治療概要 根管治療 提案内容 CTを撮影したところ、根管治療が不十分な部分があり、歯の根の先端に細菌の膿が確認される状態でした。再度の根管治療が必要な状態でしたので […]

詳細を見る

インビザラインとジルコニアの被せ物を用いて審美的、機能的に回復させた症例

治療期間の目安
1年4ヶ月
治療回数の目安
インビザライン13回、虫歯治療8回
治療費総額の目安
202万円

治療概要 虫歯治療,詰め物・被せ物,根管治療,インビザライン(フル) 患者様のお悩み 前歯や全体の状態が気になる 提案内容 古い詰め物が口腔内全体的に入っていました。 前歯は一部反対咬合になっており、将来的な虫歯や歯周病 […]

詳細を見る

Menu

エス歯科クリニック(上大岡)

住所

〒233-0002
神奈川県横浜市港南区上大岡西1丁目14-6 Daiwa 上大岡ビル3階
(上大岡駅から徒歩1分)

最寄駅

上大岡駅より徒歩1分

駐車場

近隣駐車場をご利用ください。

支払い方法

現金/PayPay/クレジットカード

09:30〜13:00
14:30〜19:30
\ お急ぎの方はお電話で! /

045-848-3888

24時間いつでもOK!
WEB初診予約

BACK TO TOP

アクセスアイコン

アクセス

LINE予約アイコン

LINE予約

WEB予約アイコン

WEB予約

電話予約アイコン

電話予約

メニュー