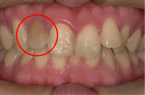
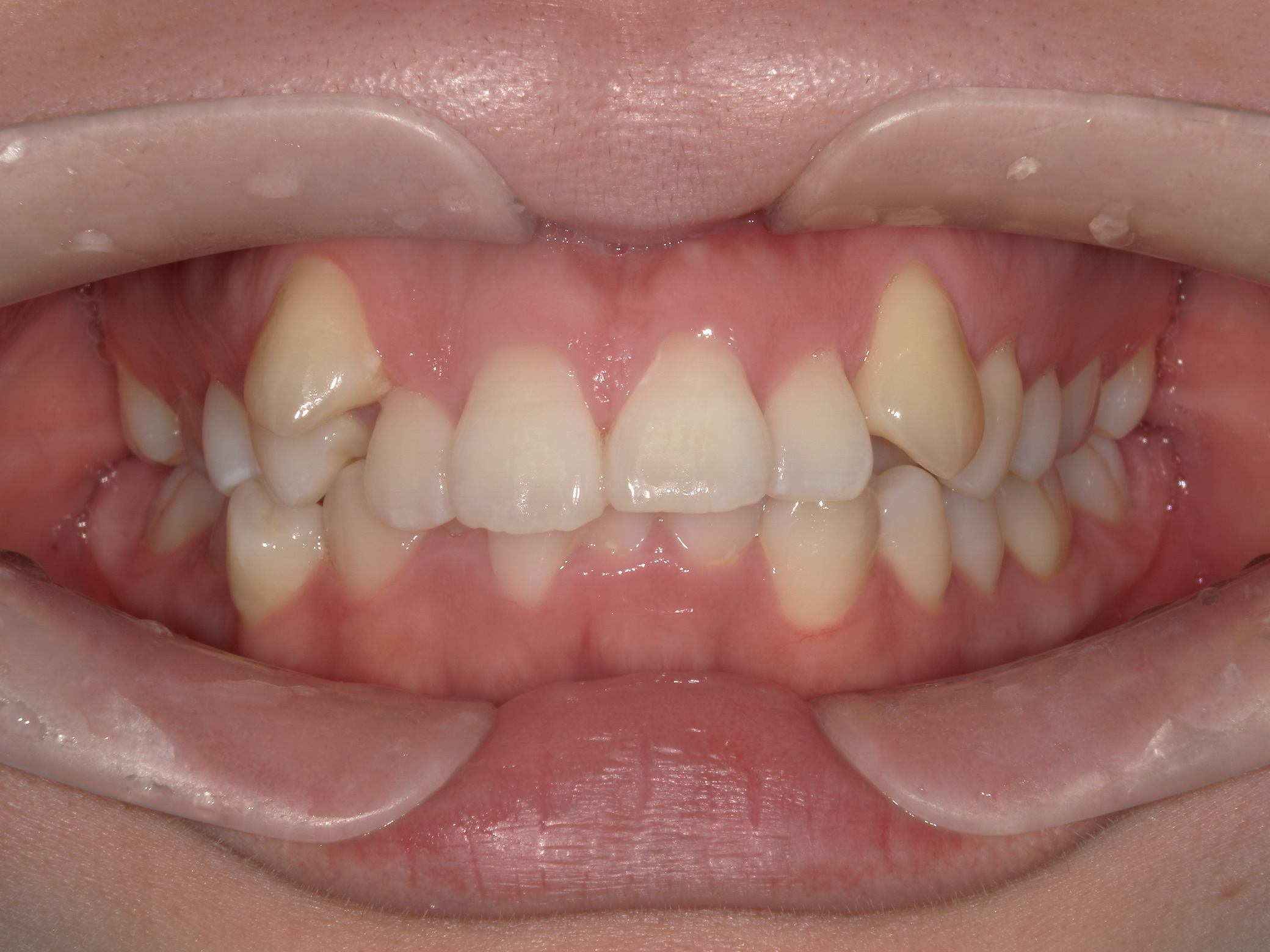
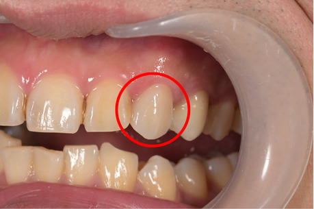
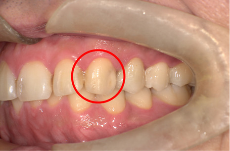
歯並びが気になる
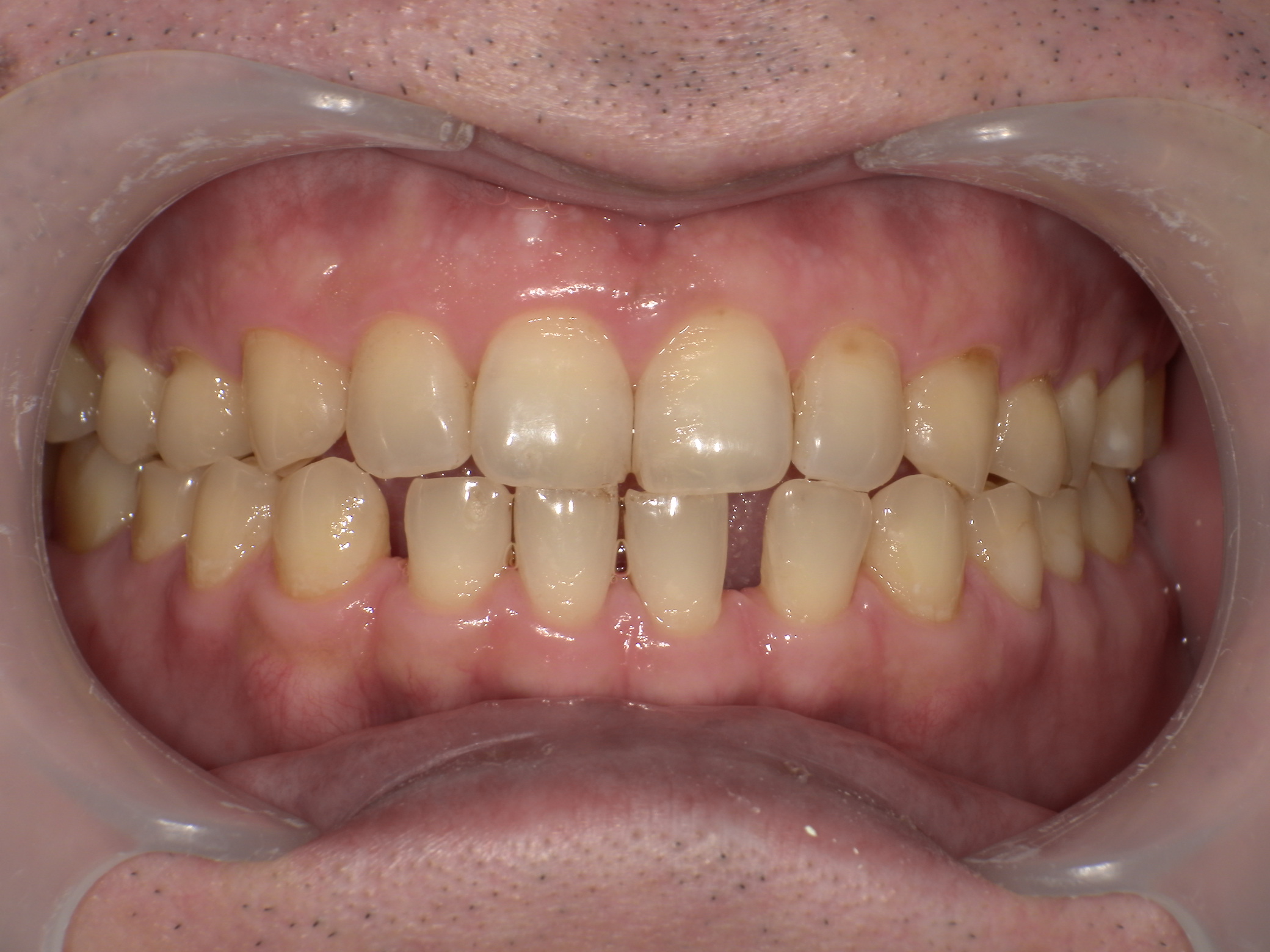
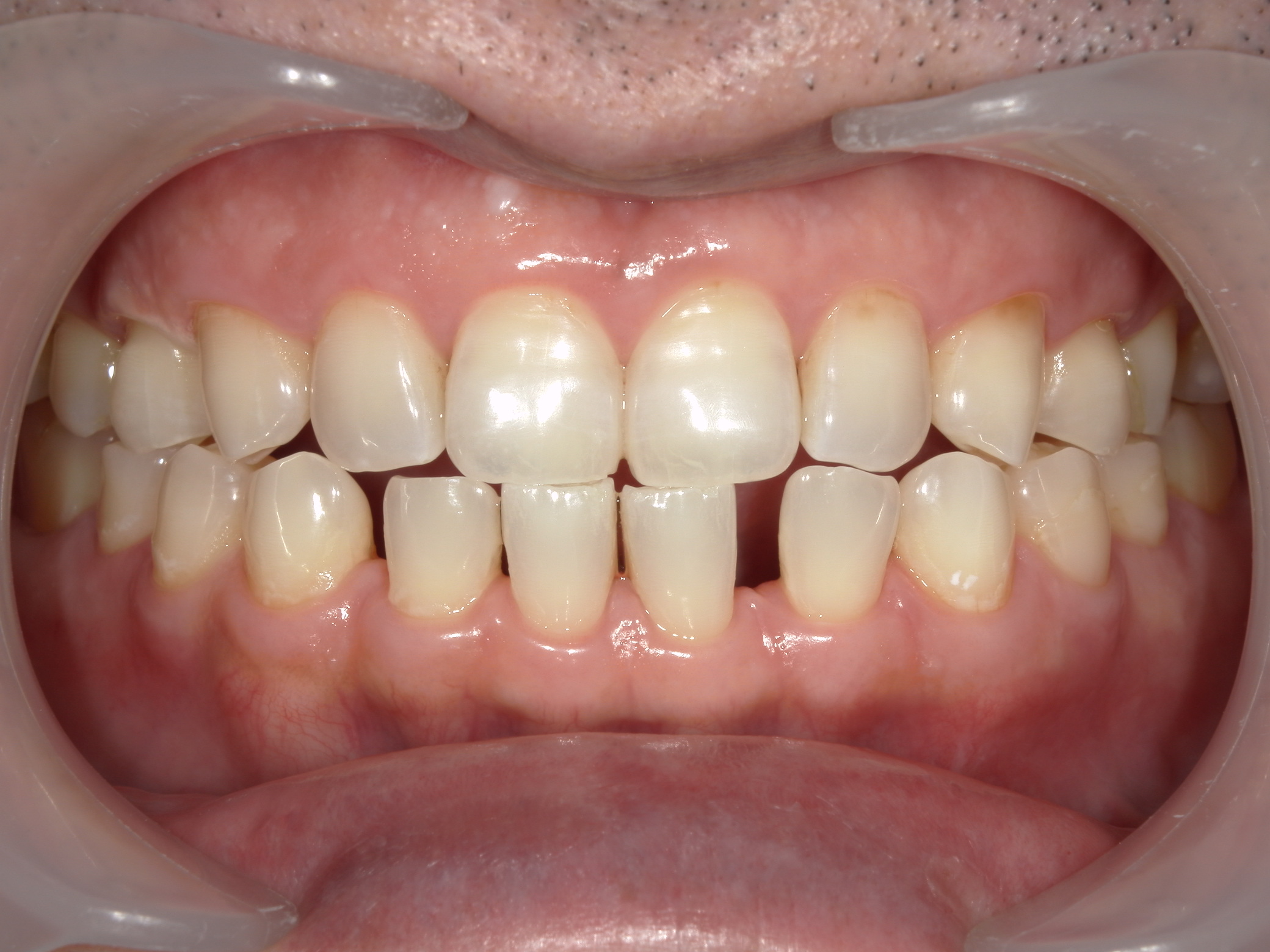
インビザラインオフィスホワイトニングクリーニングホームホワイトニング患者様情報 20代女性 患者様のお悩み 歯並びは以前から気になっていた。 他院にてマウスピース矯正の相談にいたことがあったが、「右上の1番目の歯のスペースがなく、マウスピース矯正は難しい。矯正するのであれば […]

患者様情報 20代女性 患者様のお悩み 歯並びは以前から気になっていた。 他院にてマウスピース矯正の相談にいたことがあったが、「右上の1番目の歯のスペースがなく、マウスピース矯正は難しい。矯正するのであれば […]
患者様のお悩み 右側の奥歯がないため食事がまともにできず、また前歯の被せ物見た目が悪いので治したい 治療概要 インプラント 治療前の状態 右上の奥歯がなく、骨が溶けて膿が溜まっている状態でした。 また、前歯 […]
患者様情報 40代男性 患者様のお悩み 奥の歯茎が疼く 治療概要 根管治療 提案内容 CTを撮影したところ、根管治療が不十分な部分があり、歯の根の先端に細菌の膿が確認される状態でした。再度の根管治療が必要な状態でしたので […]
患者様情報 40代男性 患者様のお悩み 右上の歯茎が腫れた、噛めない 治療概要 詰め物・被せ物、インプラント 提案内容 右上の歯の詰め物をマイクロスコープ下で外し、歯の状態を確認したところ、歯は縦に割れてし […]
患者様情報 60代女性 患者様のお悩み 被せものがはずれた、前歯のブリッジがぐらぐらする 治療概要 虫歯治療、詰め物・被せ物、インプラント 提案内容 奥歯は金属修復補綴物の劣化、隙間からの虫歯があったので治 […]
患者様情報 50代女性 患者様のお悩み 強い痛みががある、全体的に治療をしたい 治療概要 診断の結果、上顎は複数の歯が重度歯周病に進行していたため、抜歯を行いオールオン4の治療を提案しました。 さらに上顎は骨が薄く骨造成 […]
患者様情報 40代女性 患者様のお悩み 噛み合わせが悪く、叢生が気になり他院で治療した被せ物が大きくきつい、違和感がある 治療概要 主訴である噛み合わせ・叢生については、インビザラインによる矯正を提案しました。 被せ物に […]
患者様情報 40代女性 患者様のお悩み 噛み合わせが悪く、歯並びが気になる 治療概要 歯周病の状態が良くなかったため、まずは歯周病治療で歯肉の状態をしっかり改善させることが大切であることを説明させていただきました。 また […]
Menu
〒233-0002
神奈川県横浜市港南区上大岡西1丁目14-6 Daiwa 上大岡ビル3階
(上大岡駅から徒歩1分)
上大岡駅より徒歩1分
近隣駐車場をご利用ください。
現金/PayPay/クレジットカード
| 月 | 火 | 水 | 木 | 金 | 土 | 日 | 祝 | |
|---|---|---|---|---|---|---|---|---|
| 09:30〜13:00 | ● | ● | ● | ● | ● | ▲ | ✕ | ✕ |
| 14:30〜19:30 | ● | ● | ● | ● | ● | △ | ✕ | ✕ |
045-848-3888
アクセス
LINE予約
WEB予約
電話予約
メニュー