 
			 
        
 
			 
         
			 
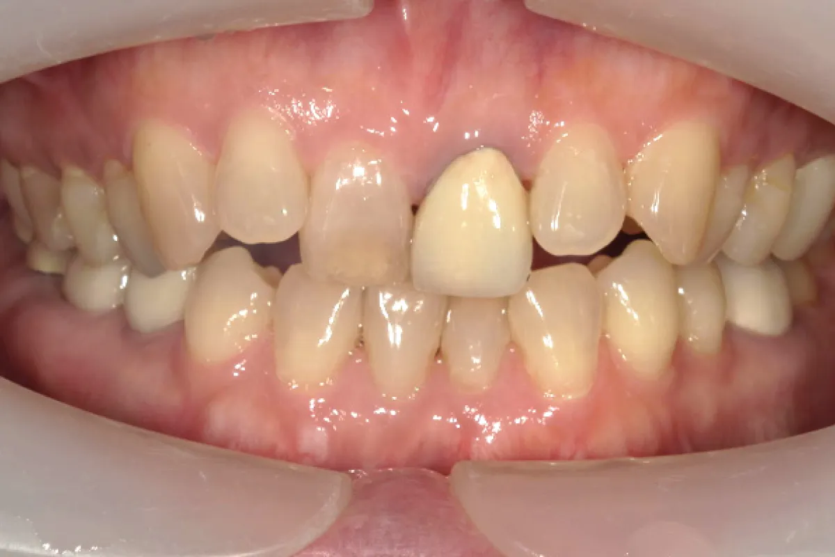
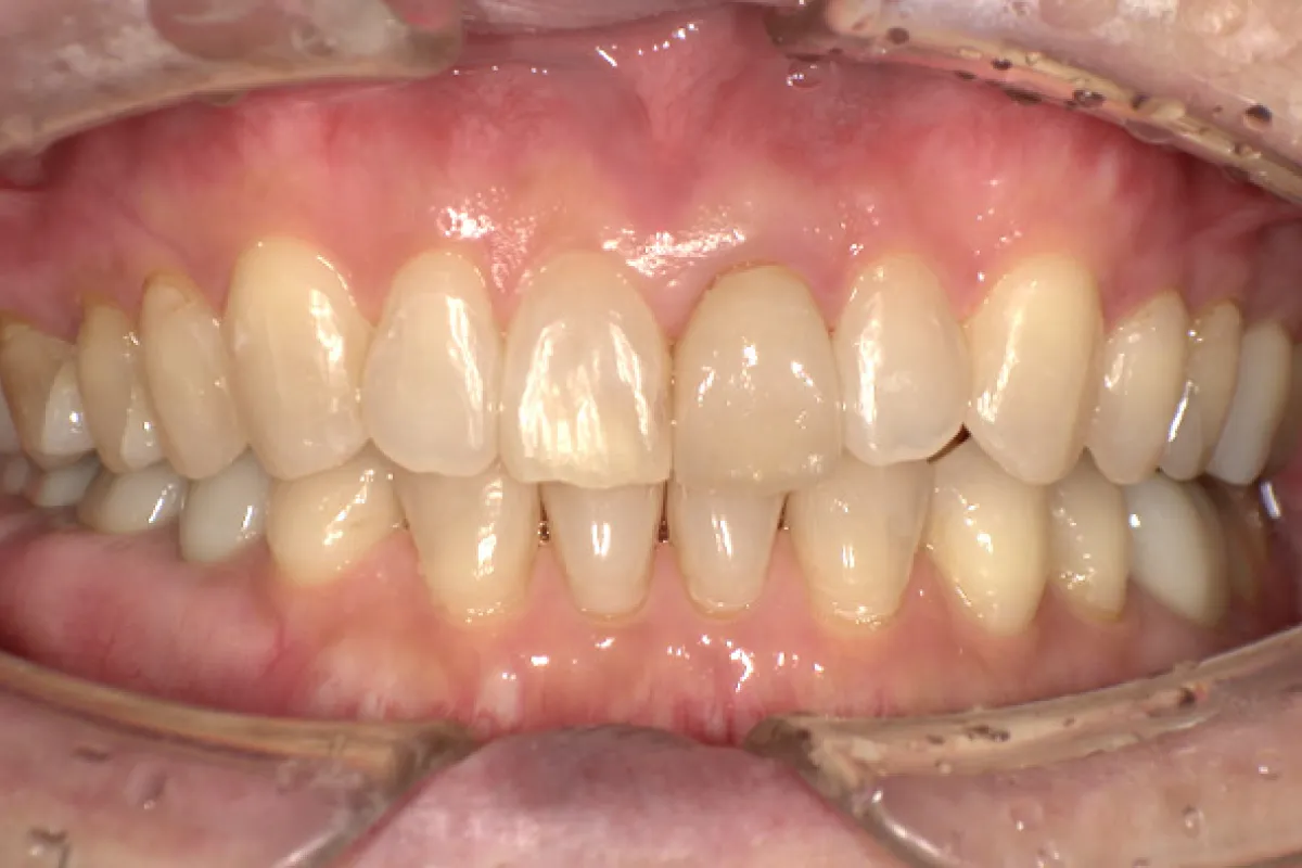
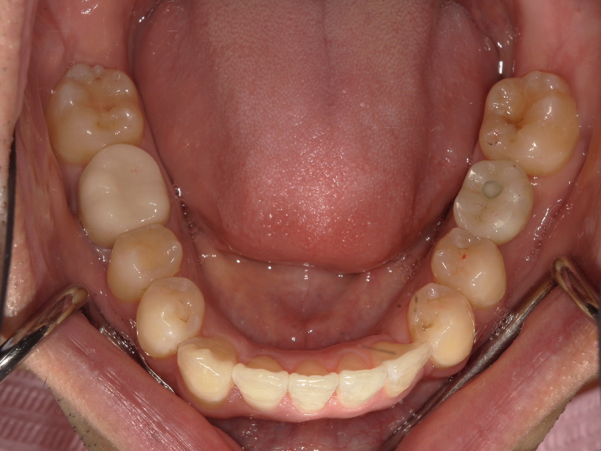
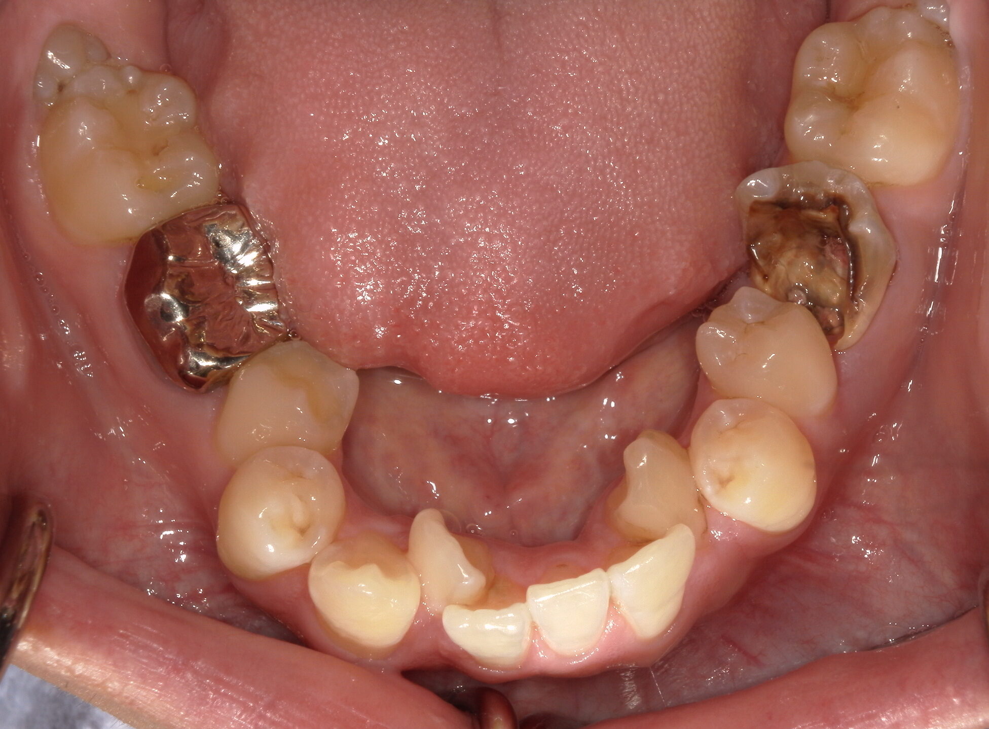
        患者様情報 60代女性 患者様のお悩み 被せものがはずれた、前歯のブリッジがぐらぐらする 治療概要 虫歯治療、詰め物・被せ物、インプラント 提案内容 奥歯は金属修復補綴物の劣化、隙間からの虫歯があったので治 […]
 
			 
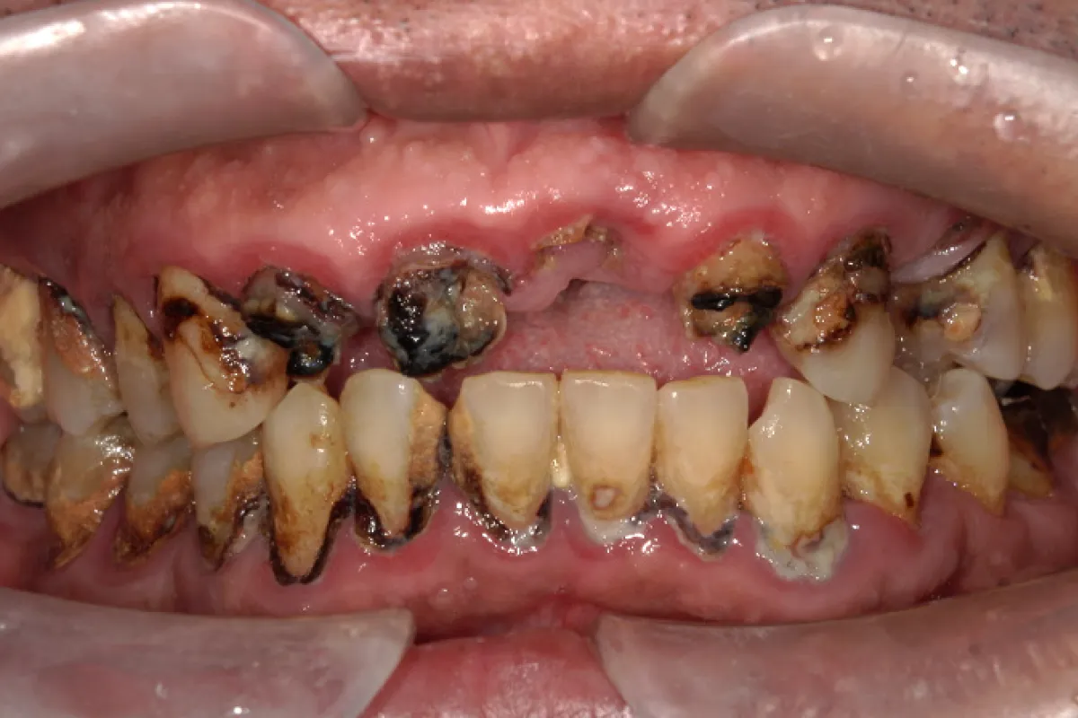
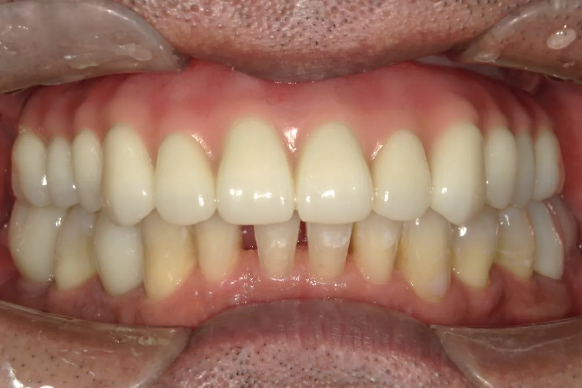
        患者様情報 50代女性 患者様のお悩み 強い痛みががある、全体的に治療をしたい 治療概要 診断の結果、上顎は複数の歯が重度歯周病に進行していたため、抜歯を行いオールオン4の治療を提案しました。 さらに上顎は骨が薄く骨造成 […]
 
			 
        患者様情報 40代女性 患者様のお悩み 噛み合わせが悪く、叢生が気になり他院で治療した被せ物が大きくきつい、違和感がある 治療概要 主訴である噛み合わせ・叢生については、インビザラインによる矯正を提案しました。 被せ物に […]
 
			 
        患者様情報 40代女性 患者様のお悩み 噛み合わせが悪く、歯並びが気になる 治療概要 歯周病の状態が良くなかったため、まずは歯周病治療で歯肉の状態をしっかり改善させることが大切であることを説明させていただきました。 また […]
 
			 
        患者様情報 20代女性 患者様のお悩み 歯のがたつき、噛み合わせが気になる。 治療概要 歯のがたつき、噛み合わせを治すため、当院では見た目も気にならないインビザラインを患者様におすすめしました。 インビザラ […]
 
			 
        患者様情報 30代女性 患者様のお悩み 前歯のがたつき、突出感が気になる。 治療概要 前歯のがたつき、突出感を治すため、当院では見た目も気にならないインビザラインを患者様におすすめしました。歯の形を整えて歯 […]
 
			 
        患者様情報 20代女性 患者様のお悩み 上の前歯が出っ歯なのが気になる・前歯で噛み切れない 治療概要 前歯が噛み合っていなかったため、インビザライン矯正で噛み合わせと歯並びを治療 インビザライン矯正について […]
 
			 
        患者様情報 20代女性 患者様のお悩み 全体的に歯並びが気になる・左上の前歯が内側に入っている 治療概要 噛み合わせた時に下の歯に隠れてしまっている左上の歯を中心に、全体的な歯並びの調整を行うためのインビザ […]
患者様情報 30代女性 患者様のお悩み 前歯が出っ歯になっている、噛み合わせが気になる 治療概要 出っ歯と噛み合わせが気になるということでこのまま治療しないと奥歯で噛むことになり、負担がかかり気になっている […]
Menu
〒233-0002
神奈川県横浜市港南区上大岡西1丁目14-6 Daiwa 上大岡ビル3階
(上大岡駅から徒歩1分)
上大岡駅より徒歩1分
近隣駐車場をご利用ください。
現金/PayPay/クレジットカード
| 月 | 火 | 水 | 木 | 金 | 土 | 日 | 祝 | |
|---|---|---|---|---|---|---|---|---|
| 09:30〜13:00 | ● | ● | ● | ● | ● | ▲ | ✕ | ✕ | 
| 14:30〜19:30 | ● | ● | ● | ● | ● | △ | ✕ | ✕ | 
045-848-3888
 
			アクセス
 
			LINE予約
WEB予約
 
			電話予約
メニュー
