〒233-0002
神奈川県横浜市港南区上大岡西1丁目14-6 Daiwa 上大岡ビル3階
(上大岡駅から徒歩1分)

メニューから探す

ホームホワイトニングに関する症例一覧

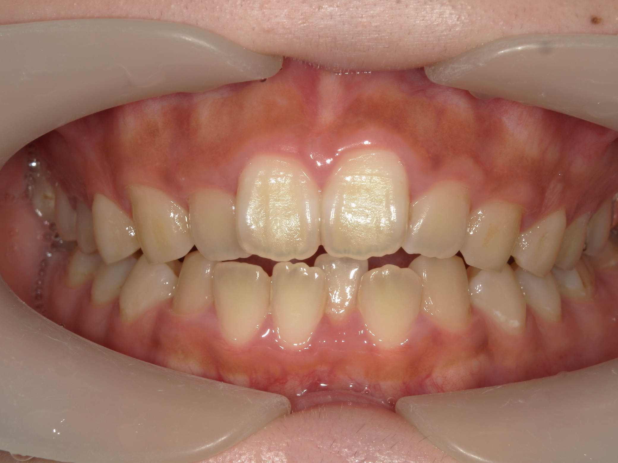
マウスピース矯正とセラミックの被せ物を用いて審美的、機能的に回復させた症例

治療期間の目安
3年2ヶ月
治療回数の目安
40回
治療費総額の目安
212万円

  患者様情報 20代女性 患者様のお悩み 歯茎にできものができた、虫歯治療したい 歯並びも気になってる 治療概要 虫歯治療、詰め物・被せ物、根管治療、インビザライン、クリーニング、ホワイトニング 提案内容 虫 […]

詳細を見る

ホワイトニングを行い、歯の白さを取り戻した症例

治療期間の目安
2ヶ月
治療回数の目安
7回
治療費総額の目安
14万円

  患者様情報 40代男性 患者様のお悩み 歯を白くしたい 治療概要 ホワイトニング 提案内容 ホームホワイトニング、オフィスホワイトニング、デュアルホワイトニングの三通りの方法についてご説明。 即効性、持続性 […]

詳細を見る

Menu

エス歯科クリニック(上大岡)

住所

〒233-0002
神奈川県横浜市港南区上大岡西1丁目14-6 Daiwa 上大岡ビル3階
(上大岡駅から徒歩1分)

最寄駅

上大岡駅より徒歩1分

駐車場

近隣駐車場をご利用ください。

支払い方法

現金/PayPay/クレジットカード

09:30〜13:00
14:30〜19:30
\ お急ぎの方はお電話で! /

045-848-3888

24時間いつでもOK!
WEB初診予約

BACK TO TOP

アクセスアイコン

アクセス

LINE予約アイコン

LINE予約

WEB予約アイコン

WEB予約

電話予約アイコン

電話予約

メニュー