マウスピース矯正とセラミックの被せ物を用いて審美的、機能的に回復させた症例
患者様情報
20代女性
患者様のお悩み
歯茎にできものができた、虫歯治療したい
歯並びも気になってる
治療概要
虫歯治療、詰め物・被せ物、根管治療、インビザライン、クリーニング、ホワイトニング
提案内容
虫歯が多く、根の先にも膿が溜まっていて状態があまり良くなかった為、原因と根本的な治療内容についてご説明させていただきました。また根の治療後の詰めもの・被せ物に関して全体的な見積もりを作成し、患者様とご相談させていただきました。
また矯正に興味があるとの事で、矯正をするメリットやマウスピース矯正の特徴・流れ等ご説明させていただきました。従って虫歯治療を含めお口の中の全体的な治療内容と治療順序・流れを詳細にご説明し、理想的な治療を提案致しました。
治療内容
まずは主訴の虫歯治療、根管治療、歯周病治療を先行しました。虫歯治療後の補綴治療は、噛み合わせが安定した矯正後に行うことで、理想的な形態を付与できました。
マウスピース矯正中は仮歯での調整も計算し、天然歯への負担を最小限に抑えることもできました。
噛み合わせや歯列を整える事で、今後の歯周病の予防、虫歯の抑制につなげられたと考えています。
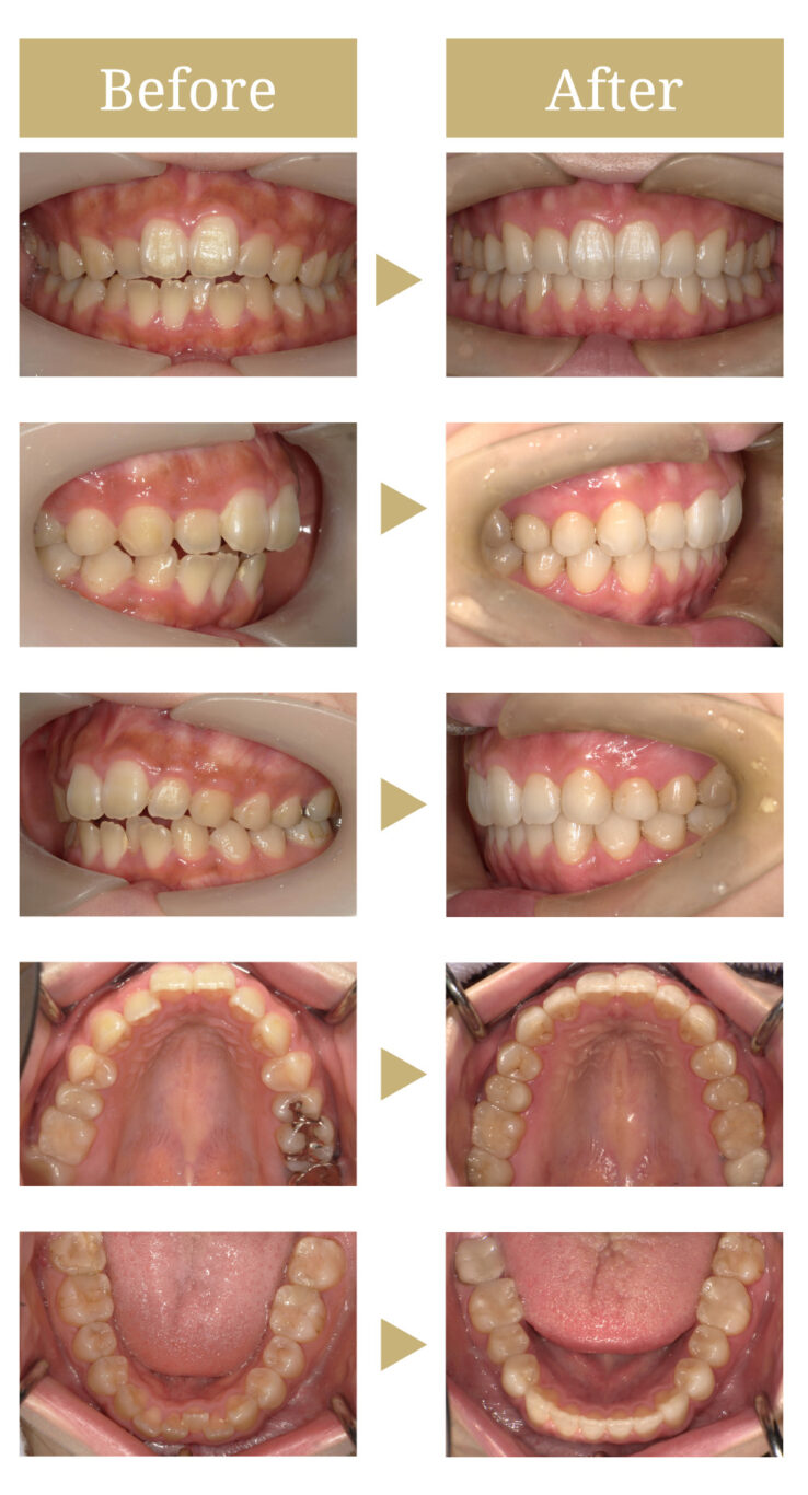
治療前の状態
歯茎にできものがあって違和感があり、歯ブラシがあたると出血する状況でした。
また前歯が重なっている所は歯石が溜まっていて、歯肉が腫れてました。前歯の噛み合わせも悪く、奥歯の負担が大きい状況でした。
治療後の状態
噛み合わせのバランスが整い、お食事の際噛み切りやすくなりました。また磨きやすくもなり、歯肉の状態が良くなりました。
矯正中にホワイトニングをしているだけでなく、奥歯の被せ物もセラミックで理想的なお色味になり、大変喜んでいらっしゃいました。
治療費用(税込)
【インビザライン】
初回相談:無料
精密検査料:19,250円
インビザライン:990,000円
月々の調整費:無料
ホワイトニング薬液代(4本):13,200円
【根管治療・土台・被せ物】
マイクロエンド:165,000円
ファイバーコア(4本):132,000円
プレスセラミック:77,000円
セラミッククラウン(ステイニング/3本):330,000円
セラミックインレー(7本):385,000円
総額:2,111,450円
治療期間
3年2ヶ月
通院頻度
1週間に1回
矯正中は1ヶ月に1回
治療回数
根管治療合計8回
インビザライン20回
補綴治療12回
アライナーの枚数
合計49枚(追加有り)
リスク・副作用
セラミックは強度に優れますが、極度な咬合力(歯ぎしりなど)で破折する可能性があります。
矯正終了後、後戻りが起きないようにする目的でリテーナーを装着する必要があります。


