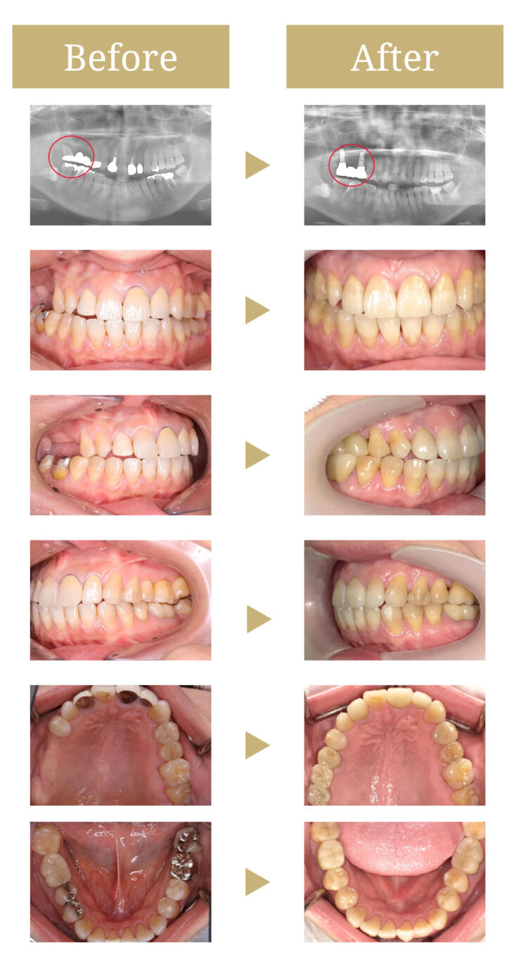
右側の奥歯がなく噛めない
/
患者様のお悩み
右側の奥歯がないため食事がまともにできず、また前歯の被せ物見た目が悪いので治したい
治療概要
インプラント
治療前の状態
右上の奥歯がなく、骨が溶けて膿が溜まっている状態でした。
また、前歯の被せ物の見た目が悪くなっていました。
治療後の状態
正面から見ても奥歯が天然歯と見分けがつかないほど自然に入っています。
また、前歯の色・形態が合っていなかった被せ物もフィットよくかぶせ直しをしています。

右側の奥歯がないため食事がまともにできず、また前歯の被せ物見た目が悪いので治したい
インプラント
右上の奥歯がなく、骨が溶けて膿が溜まっている状態でした。
また、前歯の被せ物の見た目が悪くなっていました。
正面から見ても奥歯が天然歯と見分けがつかないほど自然に入っています。
また、前歯の色・形態が合っていなかった被せ物もフィットよくかぶせ直しをしています。


略歴 Profile
ドクターコメント Doctor comment
エス歯科クリニック(上大岡)院長の池洋典と申します。 患者さんの目線に立って、 「わかりやすい説明と、痛くない治療」 「精確な診査診断と、安全で質の高い治療」 「evidence(科学的根拠)に基づいた治療」 これらを大切に、地域の皆様のお口の健康に貢献できるよう、誠意をもった丁寧な治療を心がけています。 また、歯医者が苦手な方でも安心して通院していただけるよう、治療前後での対話の時間を大切にしています。 歯や口についての疑問・不安・悩みなど、なんでもお気軽にご相談ください。
Menu
〒233-0002
神奈川県横浜市港南区上大岡西1丁目14-6 Daiwa 上大岡ビル3階
(上大岡駅から徒歩1分)
上大岡駅より徒歩1分
近隣駐車場をご利用ください。
現金/PayPay/クレジットカード
| 月 | 火 | 水 | 木 | 金 | 土 | 日 | 祝 | |
|---|---|---|---|---|---|---|---|---|
| 09:30〜13:00 | ● | ● | ● | ● | ● | ▲ | ✕ | ✕ |
| 14:30〜19:30 | ● | ● | ● | ● | ● | △ | ✕ | ✕ |
045-848-3888
アクセス
LINE予約
WEB予約
電話予約
メニュー