〒233-0002
神奈川県横浜市港南区上大岡西1丁目14-6 Daiwa 上大岡ビル3階
(上大岡駅から徒歩1分)

メニューから探す

インプラントに関する症例一覧

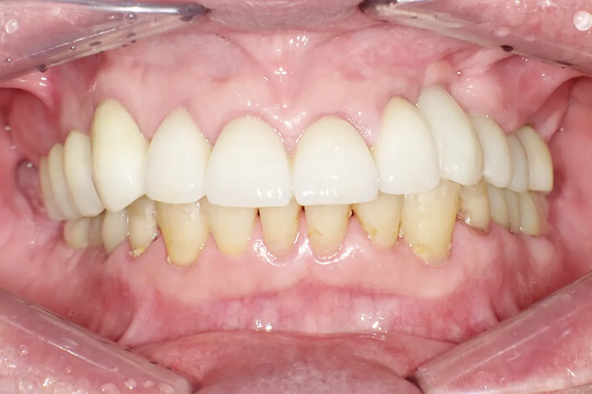
失ってしまった臼歯をインプラント治療により回復した症例

治療期間の目安
約6ヶ月
治療回数の目安
10回
治療費総額の目安
577,500円

  患者様情報 50代女性 患者様のお悩み 失ってしまった歯を治したい 治療概要 インプラント 提案内容 左下奥の歯が割れてしまい抜歯が必要な状態でした。しっかり今後もしっかり全ての歯で噛んで行きたいとご希望さ […]

詳細を見る

ボロボロな歯の解決(オールオン4)

治療期間の目安
-
治療回数の目安
-
治療費総額の目安
-

  患者様のお悩み 歯がほとんどない状態で、柔らかいものしか食べられない 治療概要 インプラント・オールオン4 歯がほとんどない状態でしたが、患者様は入れ歯も使用しておらず、柔らかいものしか食べられない不便な生 […]

詳細を見る

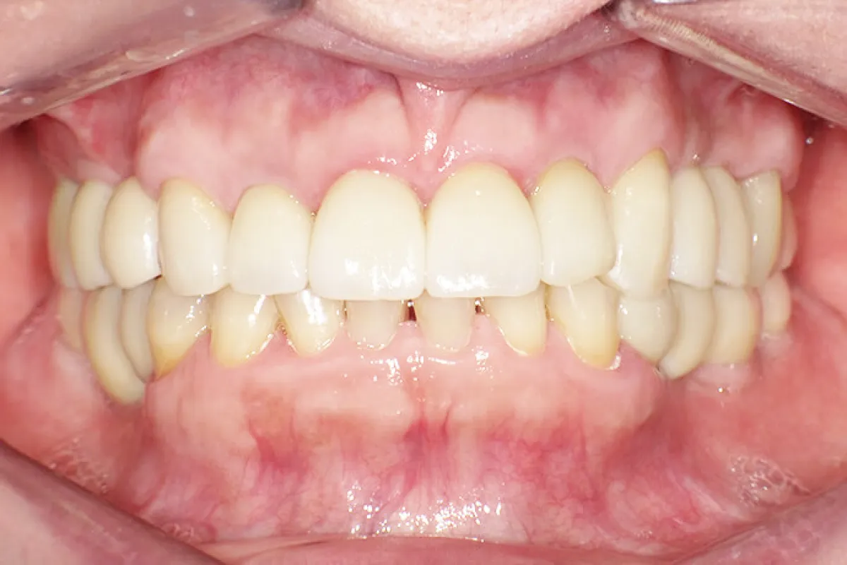
臼歯1本の欠損をインプラントを使用して咬合回復した症例

治療期間の目安
約6ヶ月
治療回数の目安
10回
治療費総額の目安
665,500円

患者様情報 50代女性 患者様のお悩み 痛みがあって抜いた部分を再び噛めるようにしたい 治療概要 インプラント 提案内容 歯が折れてしまっており、骨の中で大きく膿んでしまっていました。抜歯が必要な旨を伝え、抜歯を行い、歯 […]

詳細を見る

上顎Allon4及びサイナスリフト

治療期間の目安
11ヶ月
治療回数の目安
-
治療費総額の目安
520万円

  患者様のお悩み 他院にてインプラント相談をしたが、骨が薄いことを理由に断られた 治療概要 インプラント・オールオン4・審美歯科 他院にてインプラント相談をしたが、骨が薄いことを理由に断られたとセカンドオピニ […]

詳細を見る

前歯の審美セラミック治療

治療期間の目安
-
治療回数の目安
-
治療費総額の目安
-

患者様情報 60代女性 患者様のお悩み 前歯の見た目や奥歯の欠損が気になる 治療概要 前歯の見た目や奥歯の欠損が気になっているとのことでご来院されました。当院からは、前歯の見た目を良くする審美セラミックとインプラント治療 […]

詳細を見る

上顎オールオン4と下顎インプラント埋入

治療期間の目安
6ヶ月
治療回数の目安
-
治療費総額の目安
564万円

  患者様のお悩み 前歯の疼痛と全体的な口内環境に悩みがある 治療概要 インプラント・オールオン4 前歯の疼痛と全体的な口内環境に悩み、20年ぶりに歯科に来院されました。 インプラントや入れ歯など様々な治療法に […]

詳細を見る

前歯のインプラント

治療期間の目安
約8ヶ月
治療回数の目安
3回
治療費総額の目安
70万円(税込)

  患者様のお悩み 前歯がぐらつく・見た目が悪い 治療概要 診断をした結果、外傷による歯根の内部吸収が起こっており、歯に穴が空いている状態。炎症が広がっており膿も出ているため、抜歯を行い、右上中切歯は根管治療及 […]

詳細を見る

上顎オールオン4及び下顎臼歯のインプラント

治療期間の目安
12ヶ月
治療回数の目安
-
治療費総額の目安
680万円

  患者様のお悩み 歯牙動揺による咀嚼障害 (欠損や失活歯が多く噛めない、入れ歯で痛みが出る) 治療概要 インプラント・オールオン4・抜歯・ジルコニア 他院にて入れ歯を作製したが、疼痛や違和感があり使えずにいた […]

詳細を見る

奥歯のインプラントを含めた、全顎補綴治療

治療期間の目安
-
治療回数の目安
-
治療費総額の目安
-

患者様情報 60代男性 患者様のお悩み 奥歯の歯がなく噛めない 治療概要 奥歯の歯がなく噛めないとお悩みで来院されました。 当院からは、奥歯のインプラントと見た目にこだわった審美歯科を治療プランとしてご提案いたしました。 […]

詳細を見る

上顎・下顎のオールオン4

治療期間の目安
2年
治療回数の目安
-
治療費総額の目安
850万円

  患者様のお悩み 前歯部動揺と歯周病 治療概要 インプラント・オールオン4 歯の動揺が大きくなり、食事が十分にできず困っていました。 他院でインプラント相談をしたところ、インプラントの埋入は難しいと診断された […]

詳細を見る

Menu

エス歯科クリニック(上大岡)

住所

〒233-0002
神奈川県横浜市港南区上大岡西1丁目14-6 Daiwa 上大岡ビル3階
(上大岡駅から徒歩1分)

最寄駅

上大岡駅より徒歩1分

駐車場

近隣駐車場をご利用ください。

支払い方法

現金/PayPay/クレジットカード

09:30〜13:00
14:30〜19:30
\ お急ぎの方はお電話で! /

045-848-3888

24時間いつでもOK!
WEB初診予約

BACK TO TOP

アクセスアイコン

アクセス

LINE予約アイコン

LINE予約

WEB予約アイコン

WEB予約

電話予約アイコン

電話予約

メニュー