〒233-0002
神奈川県横浜市港南区上大岡西1丁目14-6 Daiwa 上大岡ビル3階
(上大岡駅から徒歩1分)

メニューから探す

インプラントに関する症例一覧

インプラント治療と咬合再構成

治療期間の目安
-
治療回数の目安
-
治療費総額の目安
-

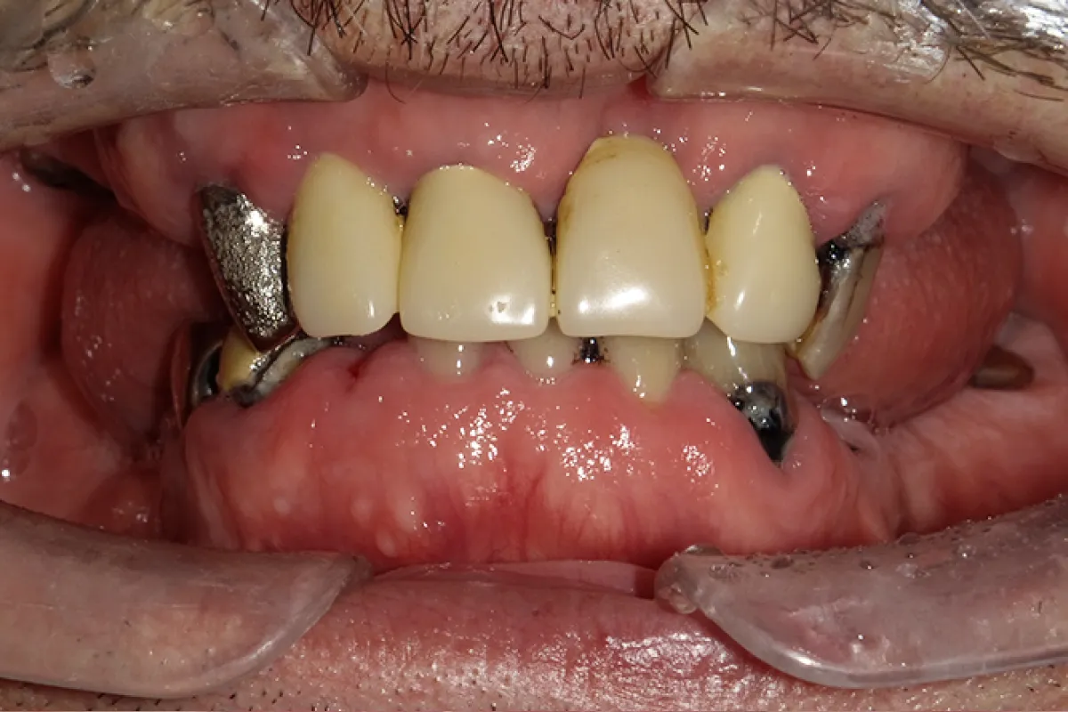
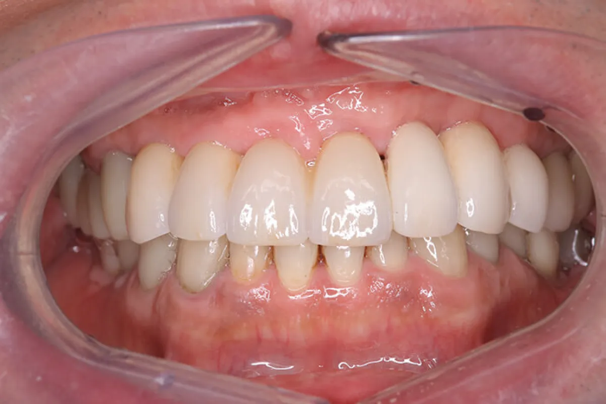
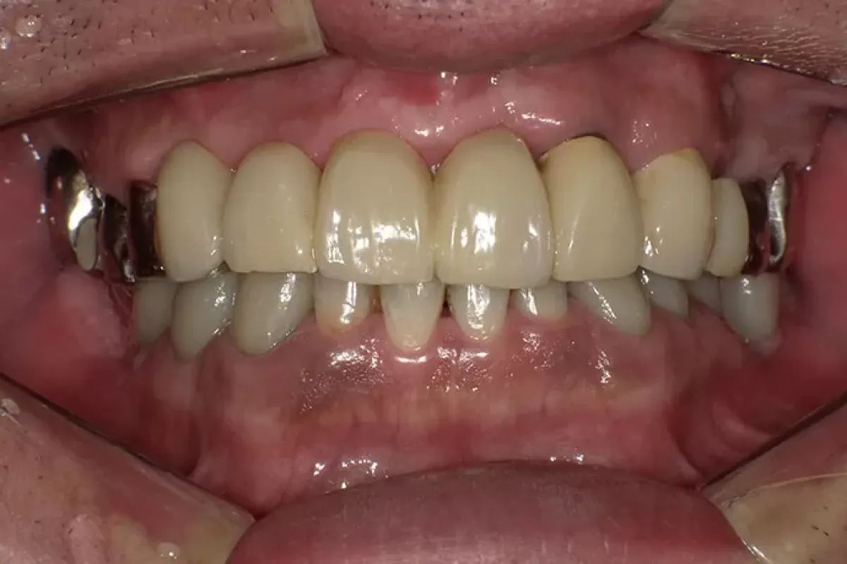
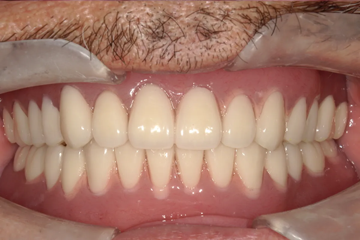
患者様情報 60代女性 患者様のお悩み 歯医者に40年以上通っておらず、歯がほとんど残っていない状態 治療概要 歯医者に40年以上通っておらず、歯がほとんど残っていない状態でした。また、この方は噛む力が非常に強く、食いし […]

詳細を見る

上顎・下顎のオールオン4

治療期間の目安
1年3ヶ月
治療回数の目安
-
治療費総額の目安
860万円

  患者様のお悩み 全歯動揺と重度歯周病 治療概要 インプラント・オールオン4 歯科へのトラウマが強く、口腔内に様々な症状がありながらも来院できずにいましたが、前歯喪失がきっかけとなりご来院されました。 口腔内 […]

詳細を見る

リカバリー手術(他院のやり直し)

治療期間の目安
-
治療回数の目安
-
治療費総額の目安
-

患者様情報 50代女性 患者様のお悩み 他院で治療した仮歯がすぐ割れたり折れたりする 治療概要 他院治療中に上の仮歯がすぐ割れたり折れたりするなどのトラブル、また治療方針がはっきりしないなどの不満を持っていらっしゃいまし […]

詳細を見る

上下顎のオールオン4治療

治療期間の目安
12ヶ月
治療回数の目安
-
治療費総額の目安
680万円

  患者様のお悩み 歯牙動揺による咀嚼障害 (欠損や動揺歯が多く噛めない、入れ歯で痛みが出る) 治療概要 インプラント・オールオン4・抜歯・ジルコニア 前歯を含めた複数の部位で歯牙の自然脱落があり、どうにかした […]

詳細を見る

上顎のオールオン4と下顎デンチャーの再製

治療期間の目安
約8ヶ月
治療回数の目安
-
治療費総額の目安
344万円(税込)※上顎オールオン4

  患者様情報 60代男性 患者様のお悩み 歯に痛みがあり薬が効かない 治療概要 左下5番に自発痛があり、薬を飲んでも効かないとご相談。他院にて入れ歯を作製して以来、通院はなく歯科医院の来院は3年ぶり。 入れ歯 […]

詳細を見る

上顎部オールオン4、及び下顎インプラント埋入

治療期間の目安
3年
治療回数の目安
-
治療費総額の目安
670万円

  患者様のお悩み 前歯部動揺と下顎疼痛 治療概要 インプラント・オールオン4・歯周病治療 上顎前歯部の動揺と左下6番の疼痛にてご来院されました。 全体的に歯周病や歯肉退縮、前歯部には歯根露出が見られました。 […]

詳細を見る

ロケーターアタッチメントを使用した全顎的なインプラントオーバーデンチャー

治療期間の目安
約11ヶ月
治療回数の目安
-
治療費総額の目安
299万円

  患者様情報 60代男性 患者様のお悩み 食事が楽しめる歯を取り戻したい 治療概要 上下を入れ歯にしてから20年間歯科医院に通っていない状態。 もう一度食事を楽しみたいと考えており、インプラントの相談でご来院 […]

詳細を見る

左上前歯の抜歯即時埋入

治療期間の目安
-
治療回数の目安
-
治療費総額の目安
-

  患者様のお悩み 前歯が割れているのが気になる。 治療概要 インプラント 左上3番は歯根が割れており、抜歯即時埋入でオペを計画。 見た目が気になっていた左上2番(矮小歯)も同時に治療を進めていく方針にいたしま […]

詳細を見る

インプラントとセラミックの被せ物を用いて審美的、機能的に回復させた症例

治療期間の目安
1年3か月
治療回数の目安
36回
治療費総額の目安
166万円

  患者様情報 60代女性 患者様のお悩み 被せものがはずれた、前歯のブリッジがぐらぐらする 治療概要 虫歯治療、詰め物・被せ物、インプラント 提案内容 奥歯は金属修復補綴物の劣化、隙間からの虫歯があったので治 […]

詳細を見る

右上前歯の抜歯即時埋入

治療期間の目安
-
治療回数の目安
-
治療費総額の目安
-

  患者様のお悩み 右上前歯に違和感がある 治療概要 インプラント 右上1番の違和感が主訴で来院されました。 過去に根管治療後、被せ物を入れている部分が、 噛んだ時の痛みや違和感があり、揺れる感じがするとのこと […]

詳細を見る

Menu

エス歯科クリニック(上大岡)

住所

〒233-0002
神奈川県横浜市港南区上大岡西1丁目14-6 Daiwa 上大岡ビル3階
(上大岡駅から徒歩1分)

最寄駅

上大岡駅より徒歩1分

駐車場

近隣駐車場をご利用ください。

支払い方法

現金/PayPay/クレジットカード

09:30〜13:00
14:30〜19:30
\ お急ぎの方はお電話で! /

045-848-3888

24時間いつでもOK!
WEB初診予約

BACK TO TOP

アクセスアイコン

アクセス

LINE予約アイコン

LINE予約

WEB予約アイコン

WEB予約

電話予約アイコン

電話予約

メニュー