〒233-0002
神奈川県横浜市港南区上大岡西1丁目14-6 Daiwa 上大岡ビル3階
(上大岡駅から徒歩1分)

メニューから探す

マウスピース矯正に関する症例一覧

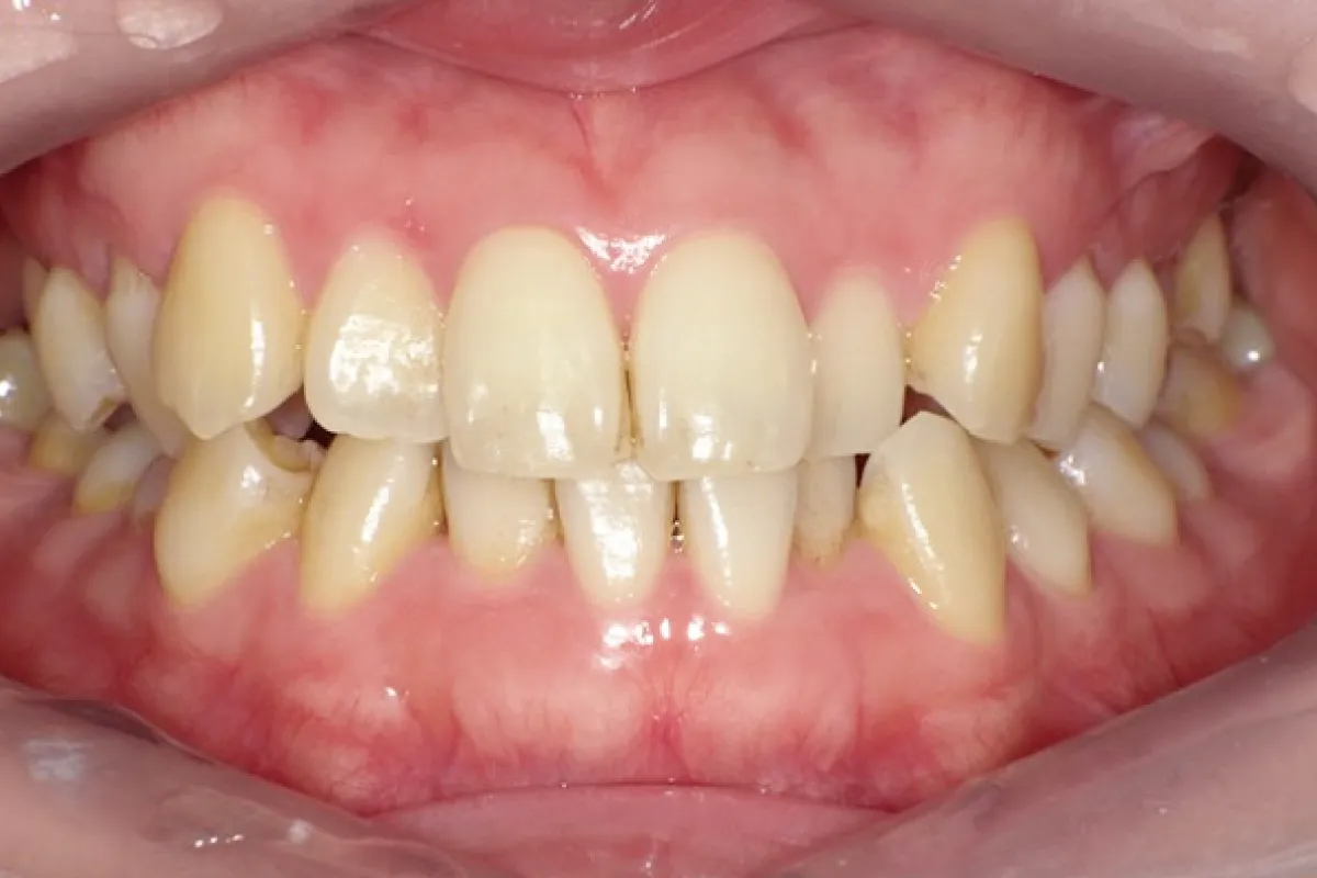
歯並び全体が気になる

治療期間の目安
約16ヶ月+保定期間
治療回数の目安
-
治療費総額の目安
97万2千円+税

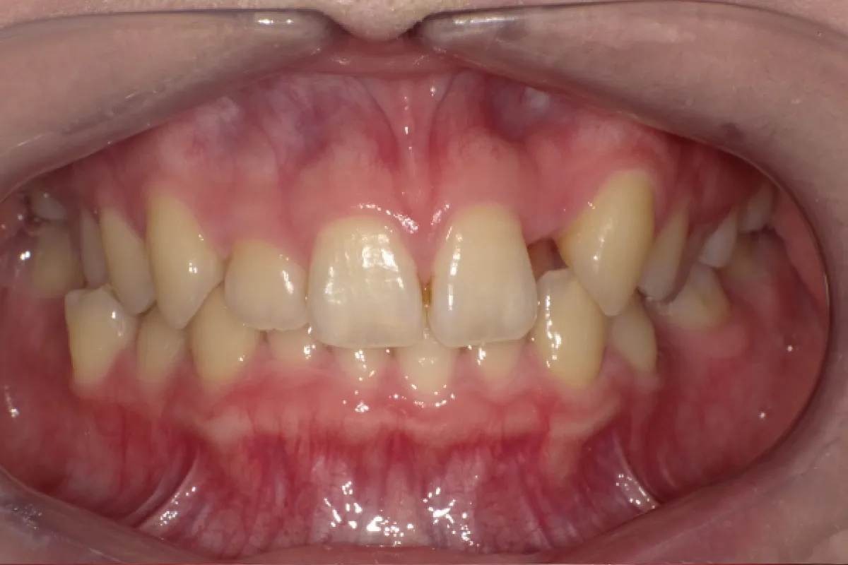
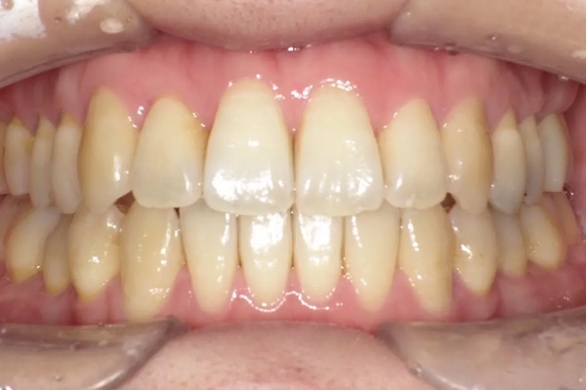
  患者様情報 20代女性 患者様のお悩み 全体的に歯並びが気になる・左上の前歯が内側に入っている 治療概要 噛み合わせた時に下の歯に隠れてしまっている左上の歯を中心に、全体的な歯並びの調整を行うためのインビザ […]

詳細を見る

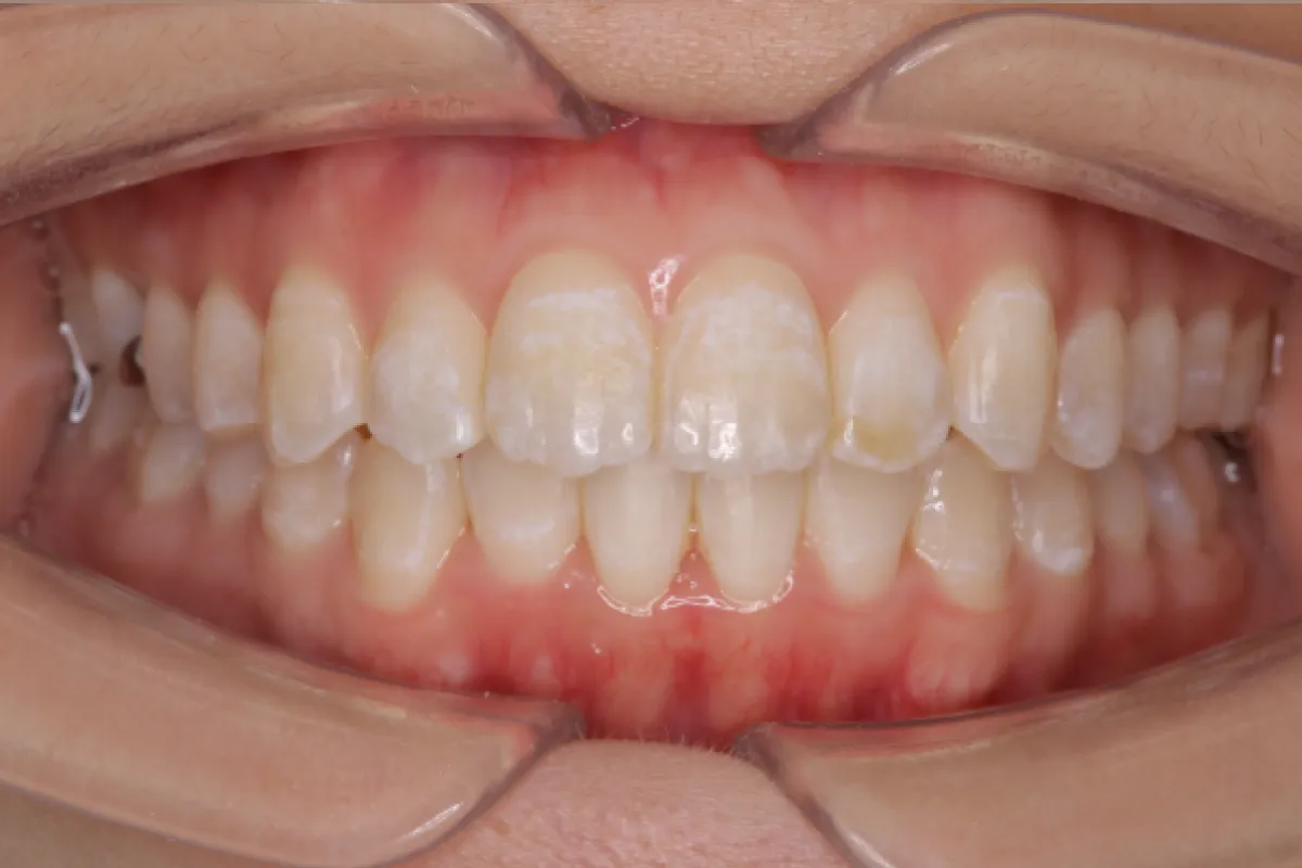
インビザライン矯正と審美補綴治療を組み合わせた症例

治療期間の目安
7ヶ月
治療回数の目安
-
治療費総額の目安
93万5,000円

  治療概要 インビザライン・ホワイトニング・マウスピース矯正 まず、矯正治療の前準備として、歯のクリーニング、虫歯と銀歯の治療を行いました。 虫歯治療終了後、マウスピース矯正と並行して、ホワイトニングコース「 […]

詳細を見る

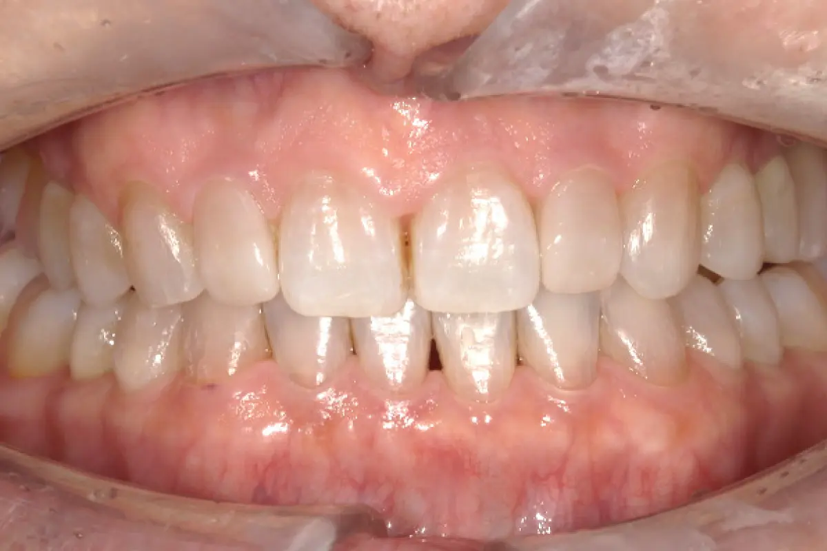
歯の隙間・出っ歯を改善する矯正

治療期間の目安
約7ヶ月+保定期間
治療回数の目安
-
治療費総額の目安
93万5千円+税

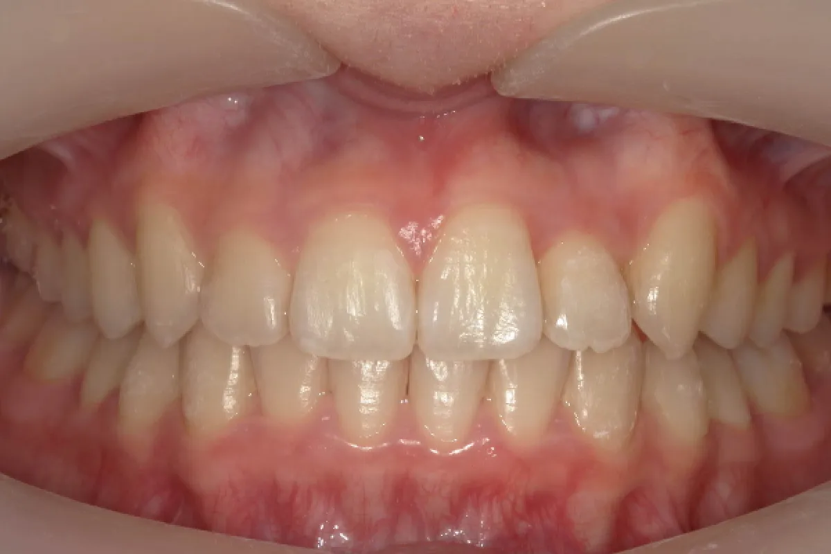
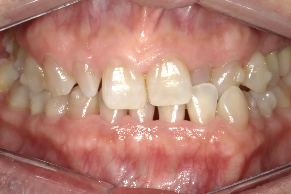
  患者様情報 20代女性 患者様のお悩み 上の前歯が出っ歯なのが気になる・前歯で噛み切れない 治療概要 前歯が噛み合っていなかったため、インビザライン矯正で噛み合わせと歯並びを治療 インビザライン矯正について […]

詳細を見る

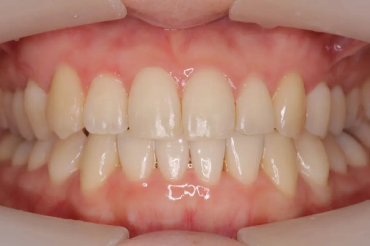
前歯の叢生(デコボコ)の矯正治療と虫歯治療

治療期間の目安
7ヶ月
治療回数の目安
-
治療費総額の目安
90万円

  治療概要 インビザライン・マウスピース矯正・親知らずの治療・虫歯 矯正治療をする前には、必ず虫歯の治療をある程度終わらせておく必要があります。 また、この症例のように、親知らずの抜歯を事前に行う場合もありま […]

詳細を見る

前歯のがたつき、突出感が気になる

治療期間の目安
約20ヶ月+保定期間
治療回数の目安
-
治療費総額の目安
86.4万円(税込)

  患者様情報 30代女性 患者様のお悩み 前歯のがたつき、突出感が気になる。 治療概要 前歯のがたつき、突出感を治すため、当院では見た目も気にならないインビザラインを患者様におすすめしました。歯の形を整えて歯 […]

詳細を見る

前歯部開咬(オープンバイト)の矯正治療

治療期間の目安
5ヶ月
治療回数の目安
-
治療費総額の目安
49.5万円

  治療概要 インビザライン・マウスピース矯正 前歯で噛めないと、全ての力を奥歯が支えることになります。 結果、奥歯に負担がかかり過ぎると、奥歯に痛みが生じたり、奥歯が割れたりすることがあります。 マウスピース […]

詳細を見る

歯のがたつき、噛み合わせが気になる

治療期間の目安
15ヶ月
治療回数の目安
-
治療費総額の目安
99万円(税込)

  患者様情報 20代女性 患者様のお悩み 歯のがたつき、噛み合わせが気になる。 治療概要 歯のがたつき、噛み合わせを治すため、当院では見た目も気にならないインビザラインを患者様におすすめしました。 インビザラ […]

詳細を見る

歯を抜かずに出っ歯を改善

治療期間の目安
1年5ヶ月
治療回数の目安
-
治療費総額の目安
104万5,000円

  治療概要 インビザライン・マウスピース矯正 口元の出っ張り感をなくし、奥歯の噛み合わせを考慮した矯正治療を提案いたしました。 術前後をイメージできるシミュレーション行い、ご納得していただいた上で治療をスター […]

詳細を見る

歯周病治療とインビザライン矯正

治療期間の目安
1年
治療回数の目安
-
治療費総額の目安
99万円

患者様情報 40代女性 患者様のお悩み 噛み合わせが悪く、歯並びが気になる 治療概要 歯周病の状態が良くなかったため、まずは歯周病治療で歯肉の状態をしっかり改善させることが大切であることを説明させていただきました。 また […]

詳細を見る

歯を抜かずに出っ歯を改善

治療期間の目安
1年10ヶ月
治療回数の目安
-
治療費総額の目安
110万円

患者様のお悩み 口元が出っ張った感じがする。 下の歯並びの凸凹も気になる 治療概要 インビザライン・マウスピース矯正 口元の出っ張り感と歯並びの凸凹がとても気になっており、患者様ご本人も矯正治療をされたいとのことでした。 […]

詳細を見る

Menu

エス歯科クリニック(上大岡)

住所

〒233-0002
神奈川県横浜市港南区上大岡西1丁目14-6 Daiwa 上大岡ビル3階
(上大岡駅から徒歩1分)

最寄駅

上大岡駅より徒歩1分

駐車場

近隣駐車場をご利用ください。

支払い方法

現金/PayPay/クレジットカード

09:30〜13:00
14:30〜19:30
\ お急ぎの方はお電話で! /

045-848-3888

24時間いつでもOK!
WEB初診予約

BACK TO TOP

アクセスアイコン

アクセス

LINE予約アイコン

LINE予約

WEB予約アイコン

WEB予約

電話予約アイコン

電話予約

メニュー