インビザラインを用いて八重歯を改善した症例
/
患者様情報
20代女性
治療概要
インビザライン・マウスピース矯正
患者様のお悩み
歯並びが気になる、磨きにくい
提案内容
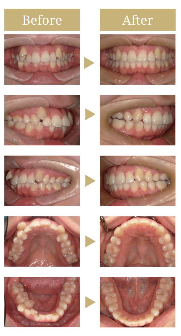
歯の重なりが強く、清掃性が悪い状況でした。
マウスピース矯正にて八重歯となってしまっている3番目の歯を大きく移動させて、審美、清掃性の改善をおすすめさせていただきました。
治療内容
マウスピース矯正にて歯列の改善を行いました。
矯正中も清掃性を維持した状態で歯の移動を達成しました。
治療前の状態
大きく八重歯が目立っているおり、また清掃性が悪い状態でした。
治療後の状態
歯の位置が整い、審美面が大幅に改善されました。
磨きやすくもなり大変喜んでいらっしゃいました。
治療費用(税込)
精密検査料:19,250円
インビザラインフル:950,000円
総額:969,250円
治療期間
1年3ヶ月
通院頻度
1ヶ月に1回
治療回数
15回
アライナーの枚数
40枚
リスク・副作用
矯正後、後戻り防止のためにリテーナーを装着する必要があります。


