神経が死んでしまった歯を、ジルコニアの被せ物を用いて審美的、 機能的に回復させた症例
患者様情報
20代男性
患者様のお悩み
歯の色味が気になる
治療概要
虫歯治療、詰め物・被せ物
提案内容
歯の神経が死んでおり状態でしたので、色がくすんでおりました。
根管治療をやり直したのちに、機能、審美を同時に改善するレイヤリングクラウンでの修復をご提案させていただきました。
治療内容
まずは根管治療のやり直しを行いました。
その後、ファイバーコアにて歯の補強。
レイヤリングクラウンにて修復いたしました。
技工士との連携も密に行なったことで患者様のご納得いただける被せ物を製作することができたと考えています。
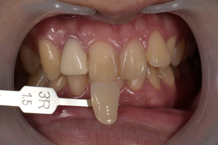
治療前の状態
右上の2番目の歯は神経が死んでおり、色がくすんでおりました。
治療後の状態
根管治療を行い、感染源を取り除きました。その後レイヤリングクラウンを製作し、セットしました。
色味が整えられ、ご満足いただきました。
治療費用(税込)
ファイバーコア 33,000円
レイヤリングクラウン 176,000円
総額:209,000円
治療期間
2ヶ月
通院頻度
週に1回
治療回数
6回(色味の修正を数回行いました)
リスク・副作用
レイヤリングクラウンは強度に優れますが、極度な咬合力(歯ぎしりなど)で破折する可能性があります。



