〒233-0002
神奈川県横浜市港南区上大岡西1丁目14-6 Daiwa 上大岡ビル3階
(上大岡駅から徒歩1分)

メニューから探す

インビザラインに関する症例一覧

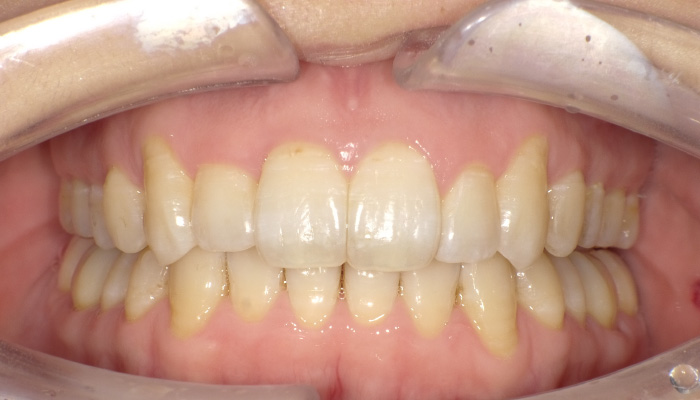
インビザラインで噛み合わせのバランスを改善した症例

治療期間の目安
6ヶ月
治療回数の目安
治療費総額の目安
109万円

  治療概要 インビザライン・マウスピース矯正 患者様のお悩み 前歯のガタガタが気になる 矯正の期間とタイミングを聞きたい マウスピース矯正がいいが、ワイヤー矯正との違いについて知りたい 提案内容 現状の噛み合 […]

詳細を見る

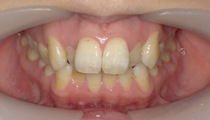
インビザラインによって叢生を改善した症例

治療期間の目安
10ヶ月
治療回数の目安
12回
治療費総額の目安
109万円

患者様情報 40代男性 患者様のお悩み 歯のカタツキが気になる 治療概要 インビザライン・マウスピース矯正 提案内容 歯の重なりが気になるとのことでしたので、マウスピースによる矯正治療を提案させていただいました。歯列を改 […]

詳細を見る

歯並びが気になる

治療期間の目安
1年1ヶ月
治療回数の目安
治療費総額の目安
94万円

患者様情報 20代女性 患者様のお悩み 歯並びが気になる。目立たずに治したい。 前歯の差し歯が黒ずみ、見た目が気になる。また奥の銀歯を無くしたい。 治療概要 インビザライン・マウスピース矯正 歯並びは以前から気になってい […]

詳細を見る

噛み合わせが強く、頭痛がする

治療期間の目安
7ヶ月
治療回数の目安
治療費総額の目安
94万円

  患者様情報 40代女性 患者様のお悩み 噛み合わせが強く、頭痛がする 治療概要 矯正治療による咬合関係の改善と審美補綴治療を提案しました。 まず、矯正治療の前準備として、歯のクリーニング、虫歯と銀歯の治療を […]

詳細を見る

出っ歯・噛み合わせが気になる

治療期間の目安
1年4ヶ月
治療回数の目安
治療費総額の目安
98万円

患者様情報 30代女性 患者様のお悩み 前歯が出っ歯になっている、噛み合わせが気になる 治療概要 出っ歯と噛み合わせが気になるということでこのまま治療しないと奥歯で噛むことになり、負担がかかり気になっている噛み合わせが悪 […]

詳細を見る

Menu

エス歯科クリニック(上大岡)

住所

〒233-0002
神奈川県横浜市港南区上大岡西1丁目14-6 Daiwa 上大岡ビル3階
(上大岡駅から徒歩1分)

最寄駅

上大岡駅より徒歩1分

駐車場

近隣駐車場をご利用ください。

支払い方法

現金/PayPay/クレジットカード

09:30〜13:00
14:30〜19:30
\ お急ぎの方はお電話で! /

045-848-3888

24時間いつでもOK!
WEB初診予約

BACK TO TOP

アクセスアイコン

アクセス

LINE予約アイコン

LINE予約

WEB予約アイコン

WEB予約

電話予約アイコン

電話予約

メニュー