〒233-0002
神奈川県横浜市港南区上大岡西1丁目14-6 Daiwa 上大岡ビル3階
(上大岡駅から徒歩1分)

メニューから探す

マウスピース矯正に関する症例一覧

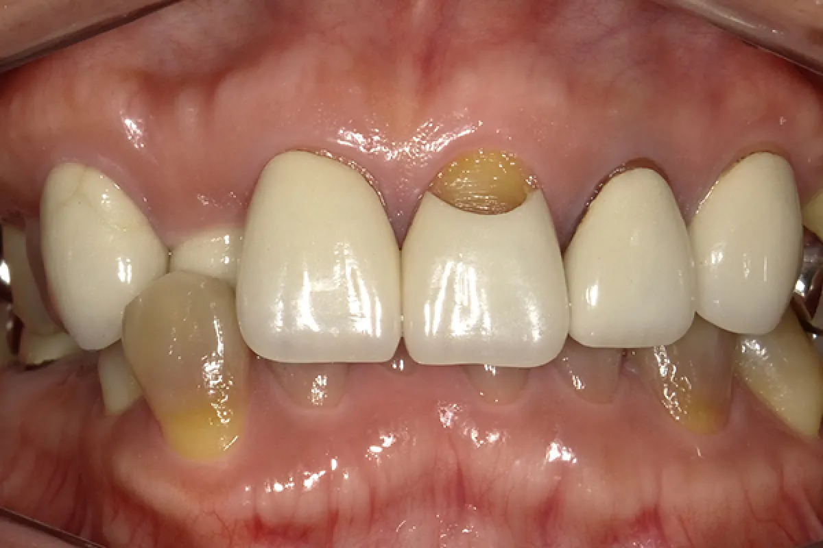
噛み合わせが強く、頭痛がする

治療期間の目安
約7ヶ月+保定期間
治療回数の目安
-
治療費総額の目安
93.5万円(税込) ※別途補綴治療費

  患者様情報 40代女性 患者様のお悩み 噛み合わせが強く、頭痛がする 治療概要 矯正治療による咬合関係の改善と審美補綴治療を提案しました。 まず、矯正治療の前準備として、歯のクリーニング、虫歯と銀歯の治療を […]

詳細を見る

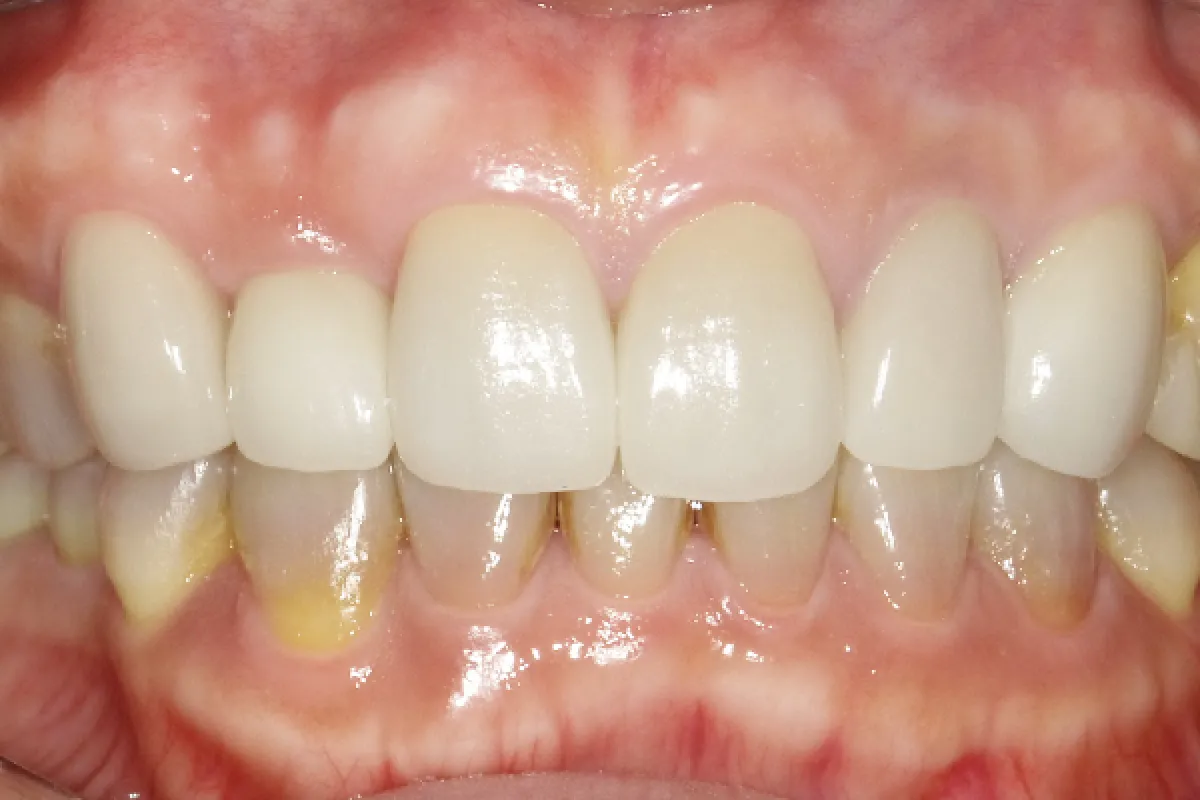
出っ歯・噛み合わせが気になる

治療期間の目安
約16ヶ月+保定期間
治療回数の目安
-
治療費総額の目安
約16ヶ月+保定期間

  患者様情報 30代女性 患者様のお悩み 前歯が出っ歯になっている、噛み合わせが気になる 治療概要 出っ歯と噛み合わせが気になるということでこのまま治療しないと奥歯で噛むことになり、負担がかかり気になっている […]

詳細を見る

Menu

エス歯科クリニック(上大岡)

住所

〒233-0002
神奈川県横浜市港南区上大岡西1丁目14-6 Daiwa 上大岡ビル3階
(上大岡駅から徒歩1分)

最寄駅

上大岡駅より徒歩1分

駐車場

近隣駐車場をご利用ください。

支払い方法

現金/PayPay/クレジットカード

09:30〜13:00
14:30〜19:30
\ お急ぎの方はお電話で! /

045-848-3888

24時間いつでもOK!
WEB初診予約

BACK TO TOP

アクセスアイコン

アクセス

LINE予約アイコン

LINE予約

WEB予約アイコン

WEB予約

電話予約アイコン

電話予約

メニュー