インビザラインによって叢生を改善した症例
/
患者様情報
40代男性
患者様のお悩み
歯のカタツキが気になる
治療概要
インビザライン・マウスピース矯正
提案内容
歯の重なりが気になるとのことでしたので、マウスピースによる矯
治療内容
インビザラインを用いて歯列矯正を行っております。
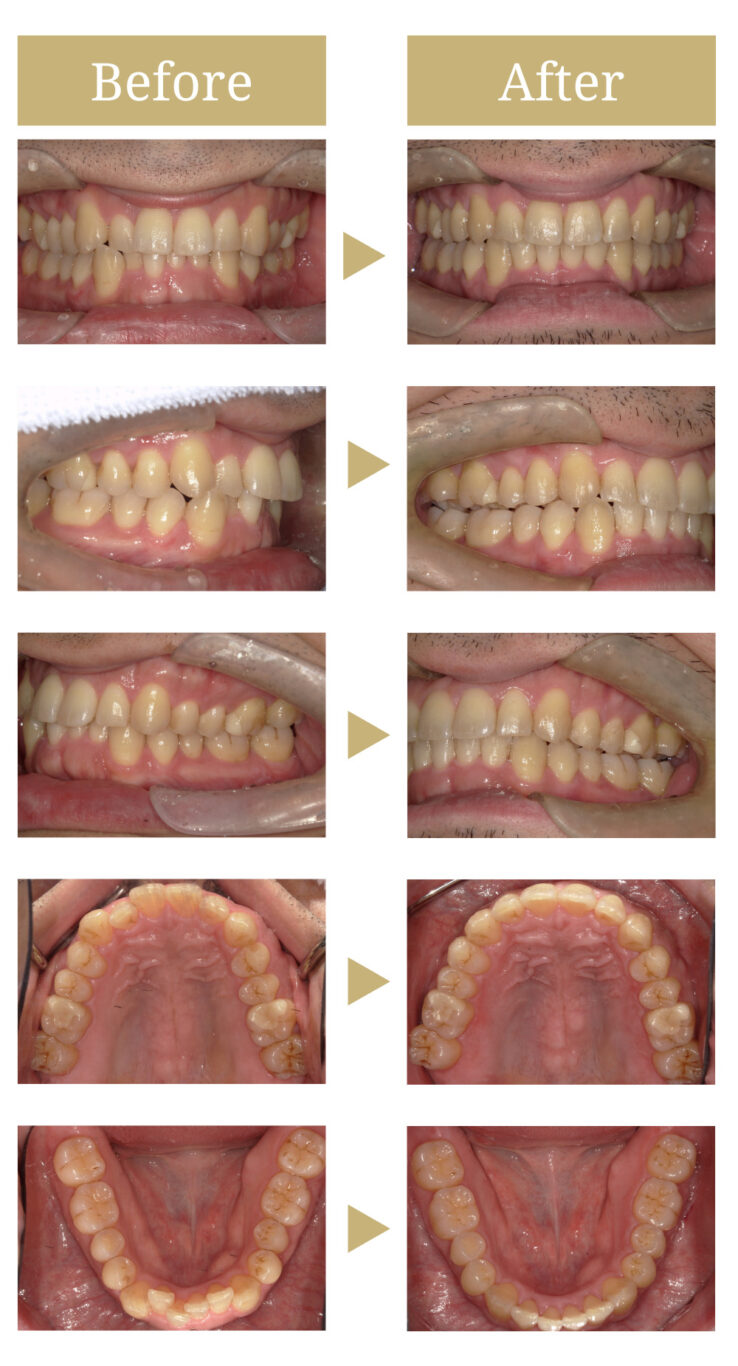
治療前の状態
初診時に、前歯の重なっているところは歯石が溜まっていました。
治療後の状態
歯列が改善され、セルフケアがしやすくなりました。噛み合わせの
治療費用(税込)
精密検査料:19,250円
インビザライン:1,000,000円
ビベラリテーナー:66,000円
総額:1,085,250円
治療期間
約10ヶ月
通院頻度
1ヶ月に1回
治療回数
12回
リスク・副作用
矯正終了後、後戻りが起きないようにする目的でリテーナーを装着する必要があります。
担当医師


