上下顎のオールオン4治療
/
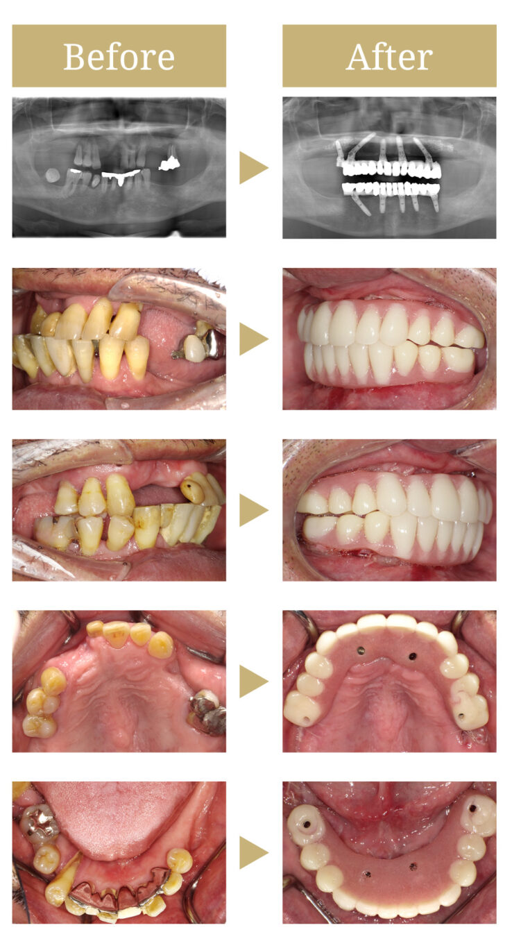
患者様のお悩み
歯牙動揺による咀嚼障害 (欠損や動揺歯が多く噛めない、入れ歯で痛みが出る)
治療概要
インプラント・オールオン4・抜歯・ジルコニア
前歯を含めた複数の部位で歯牙の自然脱落があり、どうにかしたいとご来院されました。
全体的に残存歯は状態が悪く、上顎には歯根露出や動揺が強く見られるため、全顎的な治療が必要と判断しました。
上顎は骨が薄く骨造成が必要なためサイナスリフトと呼ばれる術式を併用し、上下Allon4での治療を提案しました。
患者様自身は、口内環境に強く不満を持っており、短期間の治療と早期に見た目を改善したいとの希望に沿って、上下オールオン4を行い、審美面の改善と治療の短縮を図りました。
治療後、咀嚼の問題もなくなり、嚙み合わせも安定しました。
「何でも噛むことができるようになっただけでなく、口を隠さずに話すことができるようになった」と非常にお喜び頂けました。
治療費用・期間
680万円+税(自費診療)
12ヶ月
リスク・副作用
インプラント周囲炎の予防のため、定期的なメンテナンスが必要。
担当医師

