インプラント治療で負担の少ないバランスの良い噛み合わせを作る
患者様のお悩み
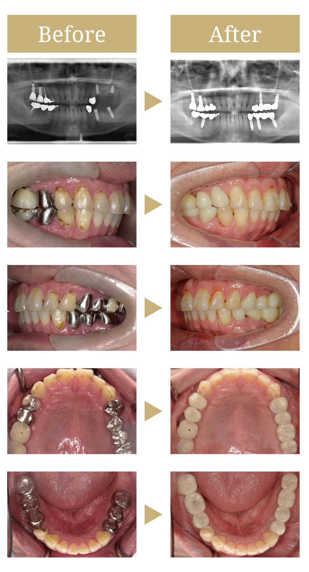
奥歯欠損と噛み合わせ不良
治療概要
インプラント
奥歯の調子が悪く、インプラント治療を検討。他、全顎的な治療を希望とのことでご来院されました。
当院からは、まず破折している歯を抜歯し、その後インプラント治療を行うことを提案しました。また、虫歯が進行している前歯については、患者様から見た目が気になるとのご希望を受けて、審美治療を提案しました。
治療費用(税込)
インプラント:4,851,000円
マイクロエンド3歯:363,000円
コア、ホテツ:946,000円
グラディアCR:198,000円
総額:6,358,000円
治療期間
1年6ヶ月
リスク・副作用
インプラント周囲炎の予防のため、定期的なメンテナンスが必要。

