〒233-0002
神奈川県横浜市港南区上大岡西1丁目14-6 Daiwa 上大岡ビル3階
(上大岡駅から徒歩1分)

私もインビザライン始めました。

私もインビザライン始めました。

/

インビザラインという矯正をはじめました。
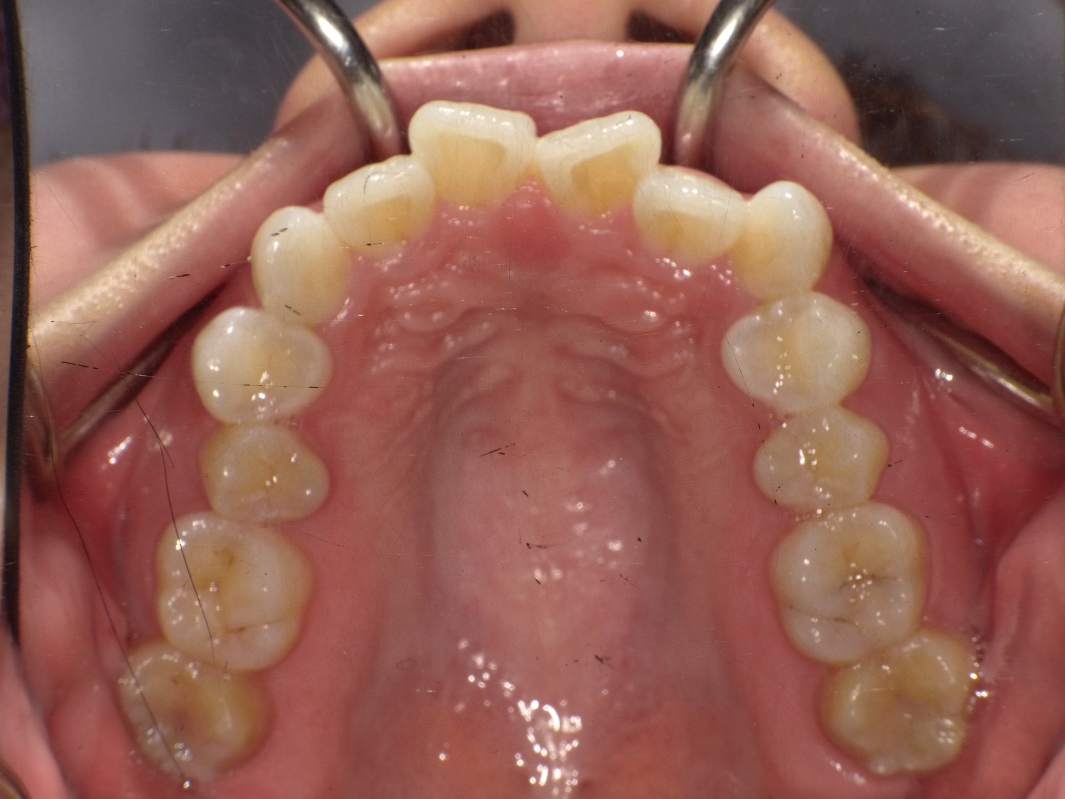
インビザラインとは、ワイヤーを使わないマウスピース矯正で、目立ちにくい透明なマウスピースを1日22時間以上、食事と歯磨きの時以外付け、約1週間ごとに新しいマウスピースに交換していくものです。

私は矯正というとワイヤーのイメージがあり、目立つ、痛そう、虫歯になるリスクがある、、、などあまりいいイメージがありませんでした。なので歯並びが気になっていたけど、矯正をしたい!とは思いませんでした。

けれど、無料シュミレーションをしてみて、すごくきれいな理想の歯並びになったので、やってみたいとおもいました。

私のインビザラインを始めたきっかけは、上の前歯の捻転(ねじれていること)が気になっていたり下の歯の叢生(互い違いになっていること)が気になっていたからです。

kozima kozima1

まだ初めて2か月半、途中経過なのですが、大分変化してきました!

kozima2 kozima3

 

みなさんも少しでも興味があれば無料スキャン、シュミレーションもできますのでぜひ、声をかけてくださいね☺

As小嶋

Menu

エス歯科クリニック(上大岡)

住所

〒233-0002
神奈川県横浜市港南区上大岡西1丁目14-6 Daiwa 上大岡ビル3階
(上大岡駅から徒歩1分)

最寄駅

上大岡駅より徒歩1分

駐車場

近隣駐車場をご利用ください。

支払い方法

現金/PayPay/クレジットカード

09:30〜13:00
14:30〜19:30
\ お急ぎの方はお電話で! /

045-848-3888

24時間いつでもOK!
WEB初診予約

BACK TO TOP

アクセスアイコン

アクセス

LINE予約アイコン

LINE予約

WEB予約アイコン

WEB予約

電話予約アイコン

電話予約

メニュー