〒233-0002
神奈川県横浜市港南区上大岡西1丁目14-6 Daiwa 上大岡ビル3階
(上大岡駅から徒歩1分)

歯茎の黒ずみ 〜ブラックマージンの改善・治療

歯茎の黒ずみ 〜ブラックマージンの改善・治療

/

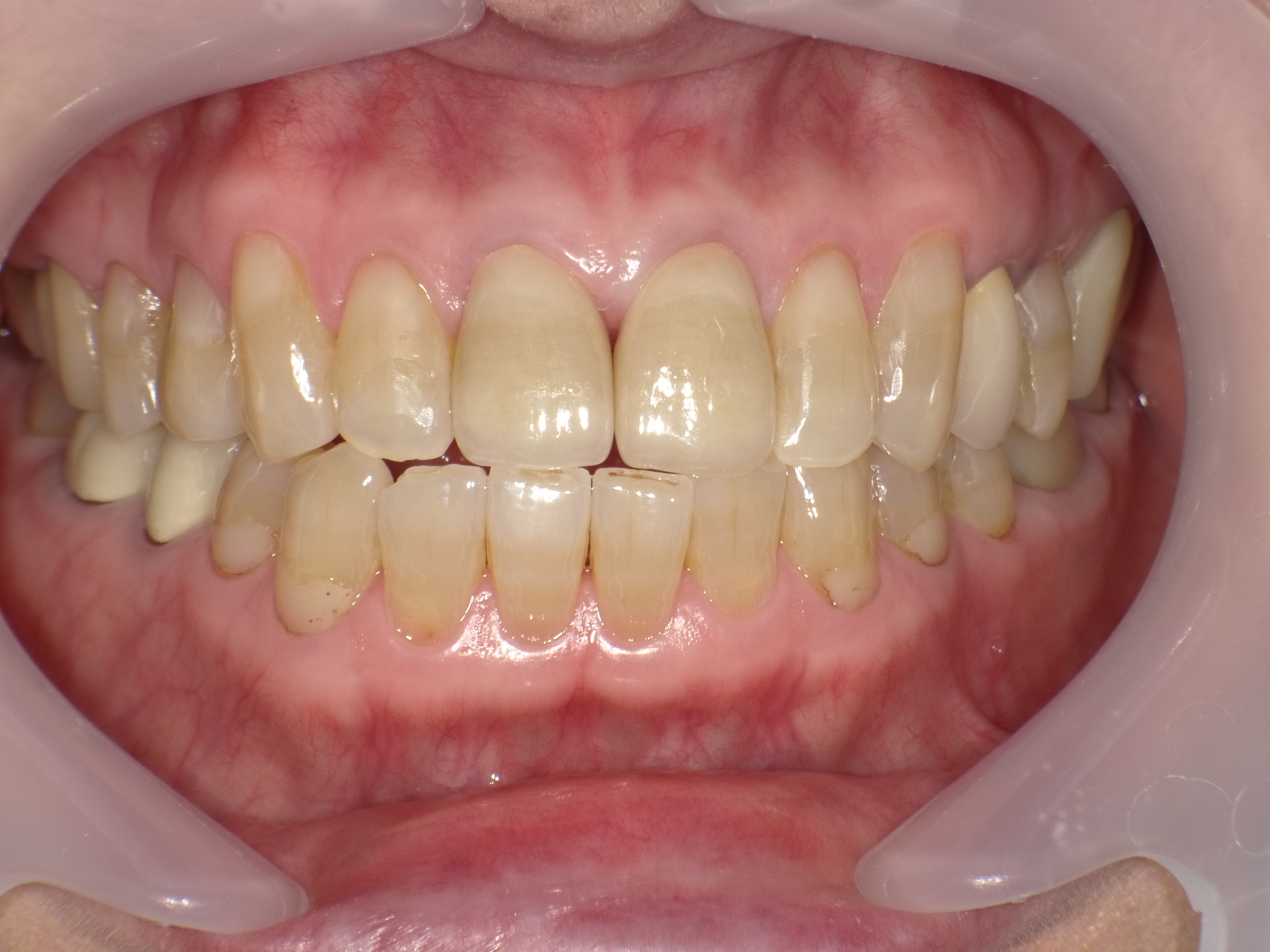
被せ物と歯肉との間に、黒い線が入ってしまうことがあります。

 

ブラックマージン、メタルタトゥーと呼ばれるこの状態は、そのまま放置しておいて治ることはありません。見える部分が黒ずんでしまうと、思うように笑えなかったり、それを気にされて来院される患者さまも多くいらっしゃいます。

 

あ あ

 

この変色は、土台や被せ物の裏打ちの金属が原因であることが多いです。隙間ができてそこから虫歯や、歯茎の退縮を引き起こします。また、長く放置されていると、被せ物の中で虫歯が広がり、土台ごと被せ物がダツリしてくることもあります。

治療前の写真

あ

治療後の写真

あ

 

 

 

治療前の写真

あ

治療後の写真

あ

根の状態や、中の虫歯の程度にもよりますが、2〜3回の来院で解決します。
隙間もなくなり、見た目も改善します。隙間がなくなれば、そこから虫歯になるリスクも減り、結果、被せ物が長くもちます。綺麗な仕上がりになると、自然な笑顔を取り戻すことができます。

 

歯科医師 池

 

 

Menu

エス歯科クリニック(上大岡)

住所

〒233-0002
神奈川県横浜市港南区上大岡西1丁目14-6 Daiwa 上大岡ビル3階
(上大岡駅から徒歩1分)

最寄駅

上大岡駅より徒歩1分

駐車場

近隣駐車場をご利用ください。

支払い方法

現金/PayPay/クレジットカード

09:30〜13:00
14:30〜19:30
\ お急ぎの方はお電話で! /

045-848-3888

24時間いつでもOK!
WEB初診予約

BACK TO TOP

アクセスアイコン

アクセス

LINE予約アイコン

LINE予約

WEB予約アイコン

WEB予約

電話予約アイコン

電話予約

メニュー