〒233-0002
神奈川県横浜市港南区上大岡西1丁目14-6 Daiwa 上大岡ビル3階
(上大岡駅から徒歩1分)

インプラント・補綴(被せもの)治療 パート1

インプラント・補綴(被せもの)治療 パート1

/

当院の患者様は皆さまいい人が多く、先日もインプラントと補綴治療で

治療を終えた患者様が是非、自分の治療のビフォーアフターをブログに使ってください

との事で許可を頂きましたので今回、掲載させていただきます。

 

この患者様も当院のホームぺージをご覧になり来院、全体的に噛めるようにしてほしいとの事で治療に取り掛かりました。

 

↓初診時の口腔内写真・パノラマ写真

https://www.s-shika-clinic.com/asset/seki1.jpg https://www.s-shika-clinic.com/asset/eea890ba0b2b5e82177638b52cc636c1b06c8020.jpg

まず、行ったのは歯の欠損部の仮歯を作成し、インプラントを埋入

左上上顎洞(赤丸)にはサイナスリフト(上顎洞内に骨を増やす処置)を施行

左上3番相当部(黄色丸)には骨欠損が大きかったため、ボーングラフト(骨を増やす処置)のみを

施行しました。

https://www.s-shika-clinic.com/asset/seki4.jpg

数ヶ月後左上3番にインプラント埋入

下顎のインプラント補綴(被せもの)は終了しております。

https://www.s-shika-clinic.com/asset/seki5.jpg

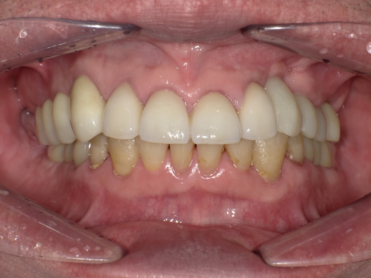
最後にすべての補綴物(天然歯も含めて治療を行っております)をセットして終了

しております。

https://www.s-shika-clinic.com/asset/seki6.jpg https://www.s-shika-clinic.com/asset/seki7.jpg https://www.s-shika-clinic.com/asset/seki8.jpg https://www.s-shika-clinic.com/asset/seki9.jpg

この患者様も今では何でも食べられるようになり非常に喜んでおられました。

最後に撮影した写真を欲しいとおっしゃっていたので口腔内写真のBefore・Afterの写真を差し上げたら『もう、前の口には戻りたくないね~』

と笑いながら言っておられました。

今後も定期検診に通っていただき、長持ちさせるように全力でケアをしていきたいと思います。

 

 

Menu

エス歯科クリニック(上大岡)

住所

〒233-0002
神奈川県横浜市港南区上大岡西1丁目14-6 Daiwa 上大岡ビル3階
(上大岡駅から徒歩1分)

最寄駅

上大岡駅より徒歩1分

駐車場

近隣駐車場をご利用ください。

支払い方法

現金/PayPay/クレジットカード

09:30〜13:00
14:30〜19:30
\ お急ぎの方はお電話で! /

045-848-3888

24時間いつでもOK!
WEB初診予約

BACK TO TOP

アクセスアイコン

アクセス

LINE予約アイコン

LINE予約

WEB予約アイコン

WEB予約

電話予約アイコン

電話予約

メニュー