〒233-0002
神奈川県横浜市港南区上大岡西1丁目14-6 Daiwa 上大岡ビル3階
(上大岡駅から徒歩1分)

根の治療のはなし③(ラバーダム)

根の治療のはなし③(ラバーダム)

/

当院ではマイクロスコープやCTを用いた最先端の根の治療を行っています。

 

マイクロスコープやCTにより、根管の数や根の湾曲している方向を診断し、痛みや膿がたまっている根本の原因を究明します。

 

根の治療において一番大切なのは根管内を無菌化することなので、根管内への唾液等の侵入による再感染や薬液が口腔内に漏れるのを防止するため、必ずラバーダム(細菌混入を防ぐためのゴムのシート)を使用します。

 

あ

 

 

このラバーダムが非常に重要です。皆さんは根っこの治療の時つけたことありますか?恐らく付けた事がある人の方が圧倒的に少ないと思いますが、非常に大事なことなのです。

 

ちなみに今日の症例です。

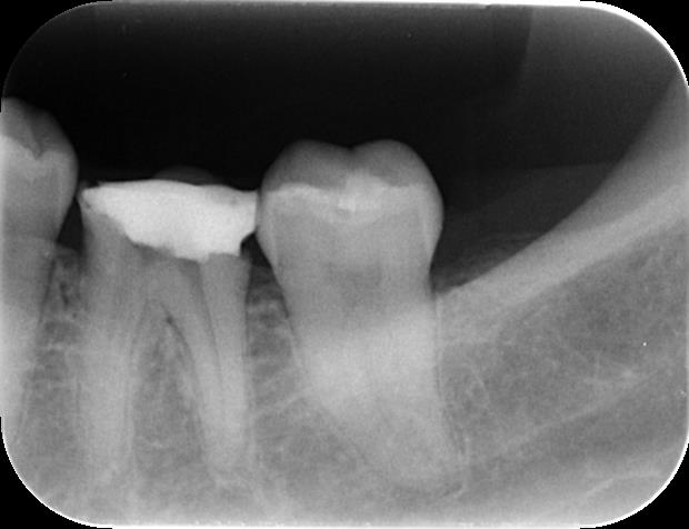
<術前> 他院で5回以上治療したものの、痛みが取れないため来院されました。

a

 

 

 

<術後>1回目の治療で症状がなくなり、2回目に根管充填し終了。根の先端までピッタリ緊密に充填されていますね。

a

 

 

 

 

 

Menu

エス歯科クリニック(上大岡)

住所

〒233-0002
神奈川県横浜市港南区上大岡西1丁目14-6 Daiwa 上大岡ビル3階
(上大岡駅から徒歩1分)

最寄駅

上大岡駅より徒歩1分

駐車場

近隣駐車場をご利用ください。

支払い方法

現金/PayPay/クレジットカード

09:30〜13:00
14:30〜19:30
\ お急ぎの方はお電話で! /

045-848-3888

24時間いつでもOK!
WEB初診予約

BACK TO TOP

アクセスアイコン

アクセス

LINE予約アイコン

LINE予約

WEB予約アイコン

WEB予約

電話予約アイコン

電話予約

メニュー