〒233-0002
神奈川県横浜市港南区上大岡西1丁目14-6 Daiwa 上大岡ビル3階
(上大岡駅から徒歩1分)

オフィスホワイトニングを受けてみました!

/

 

こんにちは!

だんだん暖かくなって春が近づいてきましたね(*´꒳`*)

 

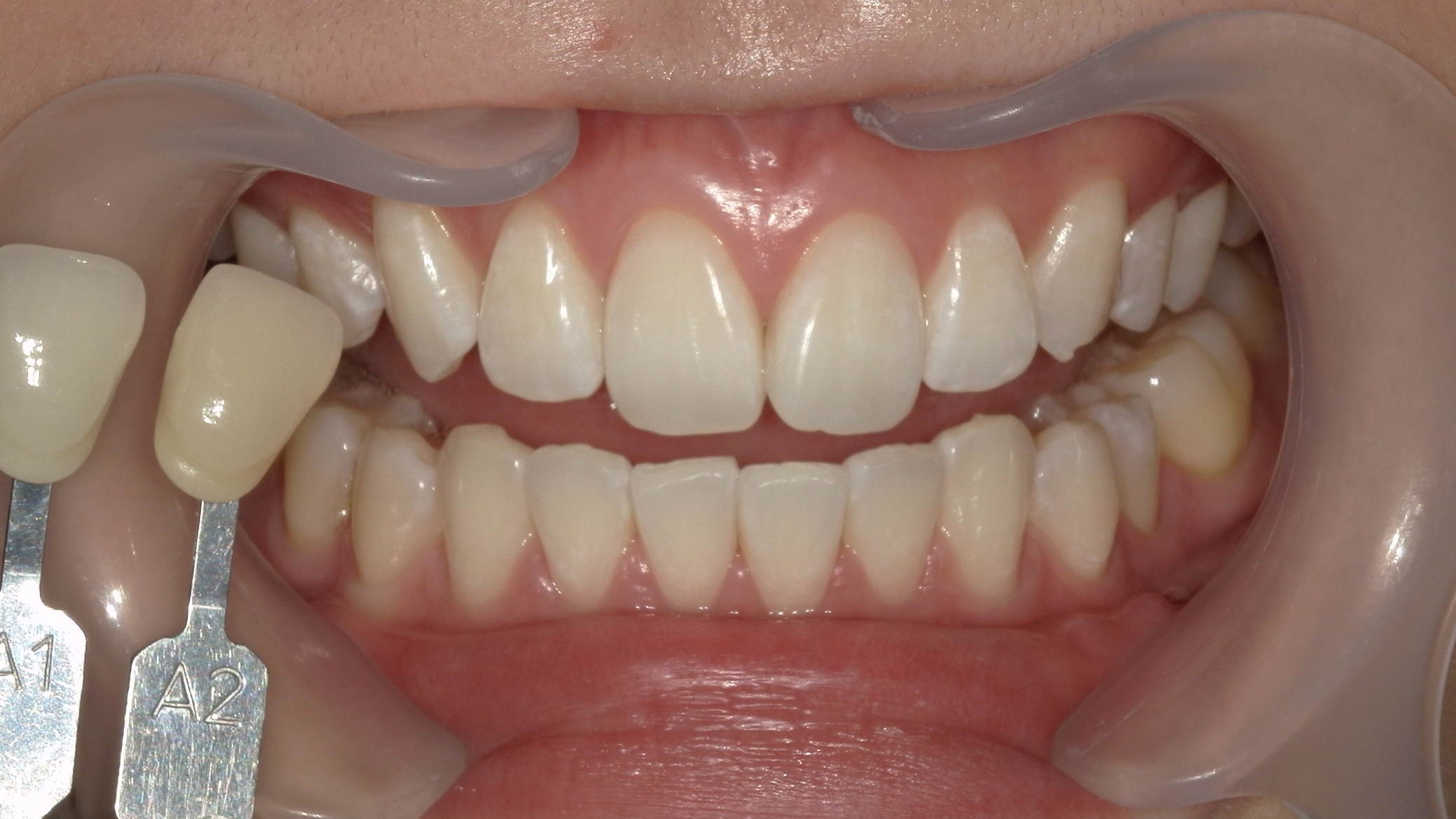
先日、気になっていたオフィスホワイトニングの施術を初めて受けました!

 

オフィスホワイトニングは歯科医院で行うホワイトニングのことを言います。

高濃度の薬剤を塗布と光照射を行い、歯の表面から白くしていくので短時間(1〜2時間程度)で効果を得ることができます。

即効性があるのに対して、薬剤を塗布したマウスピースをはめて自宅でホワイトニングを行うホームホワイトニングに比べて後戻りが早いと言われているのが特徴です。

 

☆当院ではホームホワイトニングとオフィスホワイトニングを併用するコースもあり、即効性と持続性によりさらに高い効果を得ることができます!

 

Before

be 

 

After

 af

 

1度の施術でも白くなっているのを実感できてとても嬉しいです!

今後また施術を検討しようと思います(^o^)

 

ホワイトニングについて詳しく知りたい方や、ホワイトニングをしてみたいという方はお気軽にご相談ください♪

 

DH橋山

Menu

エス歯科クリニック(上大岡)

住所

〒233-0002
神奈川県横浜市港南区上大岡西1丁目14-6 Daiwa 上大岡ビル3階
(上大岡駅から徒歩1分)

最寄駅

上大岡駅より徒歩1分

駐車場

近隣駐車場をご利用ください。

支払い方法

現金/PayPay/クレジットカード

09:30〜13:00
14:30〜19:30
\ お急ぎの方はお電話で! /

045-848-3888

24時間いつでもOK!
WEB初診予約

BACK TO TOP

アクセスアイコン

アクセス

LINE予約アイコン

LINE予約

WEB予約アイコン

WEB予約

電話予約アイコン

電話予約

メニュー