〒233-0002
神奈川県横浜市港南区上大岡西1丁目14-6 Daiwa 上大岡ビル3階
(上大岡駅から徒歩1分)

インレーについて

インレーについて

/

こんにちは!

だいぶ暑くなってきましたね!

みなさん熱中症には気をつけて下さい

 

今回はインレーについてです。

 

虫歯を削って型を採り、次回来院された時に装着する詰め物をインレーといいます。セラミックインレーは歯の色に合わせたもので、メタルインレーは金属なので、見た目がいちばん大きな違いです。

 

セラミックインレーは、元の歯に戻ったように見えるので審美的です。メタルインレーは、金属なので壊れたりすることはまずありません。

セラミックインレーは、昔は強度が弱く割れることがありましたが、現在使用される材料は強度的に満足できるレベルです。代表的なものとしてe-maxインレーがあります。

金属を使用するとアレルギーが起こる可能性がありますが、セラミックではそれがありません。またセラミックインレーは、歯垢がメタルインレーよりも付きにくいです。

 

acin

 

acin2

 

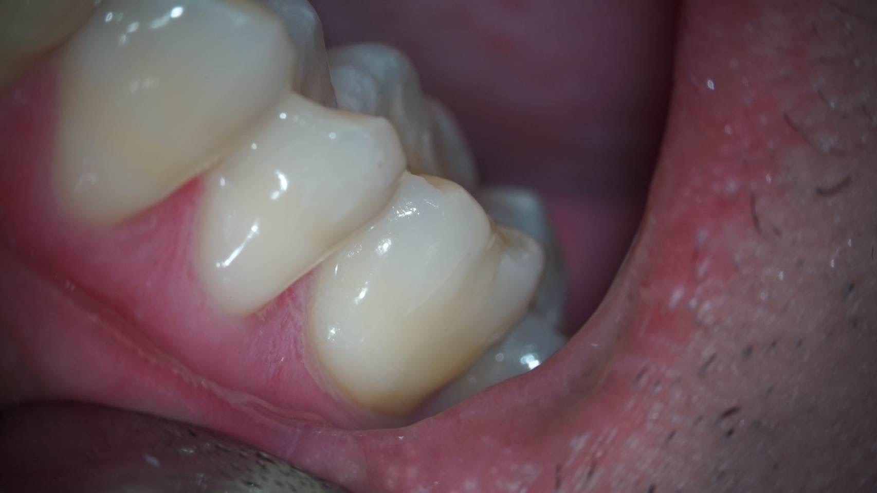
こちらがセラミックインレーをセットした歯になります。

どこがインレーの部分かわからないですよね!

 

金属が気になるや虫歯治療が気になるなど

お気軽にご相談ください♪

 

歯科衛生士 江副

Menu

エス歯科クリニック(上大岡)

住所

〒233-0002
神奈川県横浜市港南区上大岡西1丁目14-6 Daiwa 上大岡ビル3階
(上大岡駅から徒歩1分)

最寄駅

上大岡駅より徒歩1分

駐車場

近隣駐車場をご利用ください。

支払い方法

現金/PayPay/クレジットカード

09:30〜13:00
14:30〜19:30
\ お急ぎの方はお電話で! /

045-848-3888

24時間いつでもOK!
WEB初診予約

BACK TO TOP

アクセスアイコン

アクセス

LINE予約アイコン

LINE予約

WEB予約アイコン

WEB予約

電話予約アイコン

電話予約

メニュー