〒233-0002
神奈川県横浜市港南区上大岡西1丁目14-6 Daiwa 上大岡ビル3階
(上大岡駅から徒歩1分)

歯並びが気になる

歯並びが気になる

/

 

患者様情報

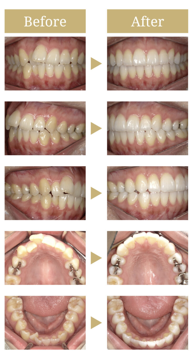
20代女性

患者様のお悩み

歯並びは以前から気になっていた。
他院にてマウスピース矯正の相談にいたことがあったが、「右上の1番目の歯のスペースがなく、マウスピース矯正は難しい。矯正するのであれば、抜歯してワイヤー矯正しかない。」と診断された。
ただ、仕事が営業なので、ワイヤー矯正はできない。
今回ホワイトニングをしようと思ったのも、歯を白くして歯並びを目立たなくしたいと考えたため。

治療概要

クリーニング、インビザライン、ホワイトニング

提案内容

わずかな歯と歯の隙間(IPR)を作ることにより、インビザライン(治療期間は1年〜1年半)で治療が可能であるとお伝えしました。

治療内容

まずはお口のお掃除をおこなうクリーニングを行い、刺激の少ないポリリン酸ホワイトニングを行いました。
その後、マウスピースを製作しインビザライン矯正をスタートです。お家でできるホワイトニング治療も行いました。
矯正治療終了後は、キレイになった歯並びが後戻りしないようにメインテナンスを行います。

 

治療費用(税込)

935,000円

治療期間

1年1ヵ月

 

監修者情報

著者画像
エス歯科グループ総院長 白井 崇浩 Takahiro Shirai

資格 Qualification

[資格]
・厚生労働省認定歯科医師臨床研修医指導医
・ICOI(国際インプラント学会) 指導医・認定医
・ICOI(国際インプラント学会) 日本エリア支部長(Area Director)
・iACD歯科総合研究指導医・認定医(Interdisciplinary Diplomate)
・iACD国際歯科学会 本部終身理事
・iACD国際歯科学会 日本支部役員 日本理事
・iACDアジア太平洋地域執行委員会常任理事
・ノーベルバイオケア公認インストラクター
・ノーベルバイオケア インプラント プラチナメンバー
・インビザライン ブルーダイヤモンドプロバイダー・認定医(マウスピース矯正)
・Jリーグ 横浜FC 公認クラブデンティスト
・Jリーグ 横浜FC 取締役
・ベルギー1部リーグ シント=トロイデンVV オフィシャルクラブデンティスト
・臨床歯科麻酔管理指導医
・日本顎顔面美容医療協会 認定医
・日本デジタル矯正歯科学会認定医
・スポーツ歯学協議会スポーツマウスガード認定医
・京セラインプラント臨床マイスター
・新潟大学医歯学総合病院 歯科臨床研修管理委員会 研修実施責任者・指導歯科医
・一般社団法人日本口腔ケア学会 評議員
・NYU(ニューヨーク大学) Continuing Dental Japan Program指導医


[所属学会]
・ICOI 国際インプラント学会
・日本顕微鏡歯科学会
・日本口腔インプラント学会
・iACD国際歯科学会
・日本デジタル矯正歯科学会
・日本口腔ケア学会

ドクターコメント Doctor comment

当グループは2014年に自分が治療を受けたいと思う歯科クリニックをコンセプトに開院しました。
そのために、精密な診断を下すことを何よりも大切にし、最新鋭の医療機器やオペ専用ルームなどを取り揃えています。また、常に進化を続ける医療業界で、先進的な歯科医療を提供するためにドクターの技術の研鑽にも常に力を入れています。初めての歯科医院に行くときには、誰もが不安を感じていると思います。当グループでは、院の雰囲気や治療方針、医療設備などにご納得いただいてから治療を進めていくことを方針としています。治療に関するご質問などがございましたら、お気軽にお問い合わせください。ぜひご来院の際は、肩の力を抜いて通院していただけたら幸いです。

Menu

エス歯科クリニック(上大岡)

住所

〒233-0002
神奈川県横浜市港南区上大岡西1丁目14-6 Daiwa 上大岡ビル3階
(上大岡駅から徒歩1分)

最寄駅

上大岡駅より徒歩1分

駐車場

近隣駐車場をご利用ください。

支払い方法

現金/PayPay/クレジットカード

09:30〜13:00
14:30〜19:30
\ お急ぎの方はお電話で! /

045-848-3888

24時間いつでもOK!
WEB初診予約

BACK TO TOP

アクセスアイコン

アクセス

LINE予約アイコン

LINE予約

WEB予約アイコン

WEB予約

電話予約アイコン

電話予約

メニュー